初診のカウンセリングを行なっています。
お気軽にご相談ください。
上顎前突(出っ歯)の矯正歯科
矯正歯科の治療例をご紹介致します。いまさらと思ってらっしゃる方も遅くはありません。歯は何才になっても動くのです。こちらでは、上顎の歯が前に出ている症例をご紹介いたします。
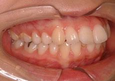
出っ歯の矯正 1 - セルフライゲーションブラケット装置(デイモンシステム)(上顎2本抜歯)
20代・男性
気になるところ
上の前歯が出ている → 上顎前突症例
治療について
●注意点・リスク・副作用などを含む治療内容
下顎に比べ上顎全体が前方へずれているため、上の歯のみ抜歯することになりました。
通常このような場合には犬歯の一つ奥の第一小臼歯と呼ばれる歯を抜いて
治療を行うことが多いのですが、左上の奥歯が神経を取っていて銀歯が被っているため、患者様のご希望により第一大臼歯を抜歯することにしました。
抜歯の選択部位としては少ない場所ですが、このように他の歯に比べてダメージの大きい歯がある場合にはその歯を抜いて治療を行うことがあります。
また、上の親知らずはまっすぐに萌えていたのでかみ合わせに参加させてあります。
その他
●治療期間…2年4ヵ月
●治療費用…960,000円 + 消費税
●治療に用いた主な装置…セルフライゲーションブラケット装置(デイモンシステム)※完成物薬機法対象外の矯正装置であり、医薬品副作用被害救済措置の対象外になることがあります。
●抜歯部位…上顎両側6番
●通院回数・メインテナンス頻度…19回
出っ歯の矯正 2 - セルフライゲーションブラケット装置(デイモンシステム)(上顎2本抜歯)
30代・女性
気になるところ
上下の前歯のガタガタと上の前歯が出ているのが気になる → 叢生を伴う上顎前突症例
治療について
●注意点・リスク・副作用などを含む治療内容
左右の奥歯の咬み合せが歯1本分近くずれているため、上の歯の第一小臼歯を左右各1本(計2本)抜歯して治療を行いました。
下の歯のデコボコは歯を抜かなくても十分に解消できると判断しました。
仕上がりにおいて下の前歯の歯茎のラインの非対称性が伺えます。
元々の治療前の歯茎のラインの位置のずれが大きいので仕方ないのですが、改善の方法としましては、
1.歯茎をレーザーで切って整える(もちろん麻酔をして行います。術後の痛みは軽度で費用も安価です)
2.上顎の方などから歯茎を切って移植する(1.よりは大変ですがお口の中は非常に治りは早いです。この場合、移植の量や歯科医院によって費用の差がありますが数万円はかかると思います)
この二つが一般的ですが、見た目の問題ですからやらなければいけないものでもないですし、その後の咬み合せ等には関係ありません。
※片側だけの抜歯について
額の骨や咬み合せが上下で著しくずれている場合に片側だけ(上だけ2本、下だけ2本)抜歯をして治療を行うことがあります。
患者様によっては上下で歯の本数が違ってしまうため咬み合せがうまくいくのか不安だとおっしゃられる場合がありますが、上下が中途半端にずれている場合は困りますが1本分奥の咬み合せをずらして咬ませれば咬み合せに全く問題がありません。
この抜歯の仕方は矯正専門医で行ったことがないという先生はいないくらい普通の方法ですからご心配はいりません。
写真を見ていただいてもお分かりいただけると思います。
その他
●治療期間…1年8ヵ月
●治療費用…900,000円 + 消費税
●治療に用いた主な装置…セルフライゲーションブラケット装置(デイモンシステム)※完成物薬機法対象外の矯正装置であり、医薬品副作用被害救済措置の対象外になることがあります。
●抜歯部位…上顎両側4番
●通院回数・メインテナンス頻度…14回
出っ歯の矯正 3 - セルフライゲーションブラケット装置(デイモンシステム)(上顎2本抜歯)
20代・女性
気になるところ
前歯が出ている事と、前歯で物が咬み切れない事が気になる → 叢生を伴う上顎前突症例
治療について
●注意点・リスク・副作用などを含む治療内容
上の歯が前方に突出し、デコボコもある状態であった為、上顎両側の第一小臼歯(計2本)を抜歯して治療を行いました。
治療後には前歯の前方突出とデコボコも解消され、緊密なかみ合わせが得られました。
その他
●治療期間…1年8ヵ月
●治療費用…900,000円 + 消費税
●治療に用いた主な装置…セルフライゲーションブラケット装置(デイモンシステム)※完成物薬機法対象外の矯正装置であり、医薬品副作用被害救済措置の対象外になることがあります。
●抜歯部位…上顎両側4番
●通院回数・メインテナンス頻度…15回
出っ歯の矯正 4 - セルフライゲーションブラケット装置(デイモンシステム)(上下左右4本抜歯)
20代・女性
気になるところ
前歯が出ているのが気になる → 上下顎前突症例
治療について
上下の歯が前方突出し、口元の突出感もある状態です。
改善の為、上下左右の第一小臼歯(計4本)の抜歯が必要となります。
その他
●治療期間…1年8ヵ月
●治療費用…900,000円 + 消費税
●治療に用いた主な装置…セルフライゲーションブラケット装置(デイモンシステム)※完成物薬機法対象外の矯正装置であり、医薬品副作用被害救済措置の対象外になることがあります。
●抜歯部位…上下顎両側4番
●通院回数・メインテナンス頻度…15回
出っ歯の矯正 5 - 上下舌側矯正装置(上顎2本抜歯)
50代・女性
気になるところ
前歯がデコボコしているのと出ているのが気になる → 叢生を伴う上顎前突症例
治療について
●注意点・リスク・副作用などを含む治療内容
上の奥のかぶっている歯を抜くのは良いが、それ以外の歯は極力抜きたくないとのご要望もあり、上は本来第一小臼歯を抜歯するところを一つ奥の第二小臼歯(左側が被せてある歯です)を抜歯しました。
下顎はこのままデコボコを治すと前歯が前方に出てしまうので、歯科矯正用アンカースクリューを左右1本ずつ埋入して、奥へ全体的に引っ張って治療を行いました。
その他
●治療期間…1年10ヵ月
●治療費用…1,435,000円 + 消費税
●治療に用いた主な装置…リンガル(舌側)矯正装置(上下)
●抜歯部位…上顎両側5番
●通院回数・メインテナンス頻度…16回
出っ歯の矯正 6 - 片方舌側矯正装置 (上下ディスキング)
30代・女性
気になるところ
前歯が出ている事と下の前歯のデコボコが気になる → 叢生を伴う上下顎前突症例
治療について
●注意点・リスク・副作用などを含む治療内容
あまり歯は抜きたくないし、歯科矯正用アンカースクリューもちょっとという事で、全体的にディスキング(※)をしてスペースを作り治療を行いました。
このくらいの出っ歯やデコボコでも歯を抜かないで治療が可能です。
※ディスキングとは
歯の両端をわずかに削ることです。
歯の表面はエナメル質で覆われていますが、そのエナメル質の1/3以下であれば問題ない(虫歯のリスクやしみてくるといった事)と言われています。
具体的には1本の歯で0.7mmと言われてますが、当院ではより安全な0.5mmを限度にこのディスキングをしてスペースを作ると言うことを行っております。
もちろん全ての患者様に必要な処置ではありませんが、極力歯を抜きたくないという患者様には有効な手段の一つです。
その他
●治療期間…1年6ヵ月
●治療費用…1,185,000円 + 消費税
●治療に用いた主な装置…ハーフリンガル(舌側矯正装置)
●抜歯部位…非抜歯
●通院回数・メインテナンス頻度…14回
出っ歯の矯正 7 - 出っ歯の矯正 7 - セルフライゲーションブラケット装置(デイモンシステム)(上下左右4本抜歯)
10代・女性
気になるところ
前歯が出ているのが気になる → 上下顎前突症例
治療について
●注意点・リスク・副作用などを含む治療内容
上下の歯が前方に出ている状態です。
歯を抜かずディスキングする事で対応できる状態でしたが、歯を抜くことを患者様が選択され治療を行いました。
当院では抜いても抜かなくても治療可能な場合、その細かい治療法や違いを説明し、治療法をお選びいただいております。
その他
●治療期間…2年
●治療費用…960,000円 + 消費税
●治療に用いた主な装置…セルフライゲーションブラケット装置(デイモンシステム)※完成物薬機法対象外の矯正装置であり、医薬品副作用被害救済措置の対象外になることがあります。
●抜歯部位…上下顎両側4番
●通院回数・メインテナンス頻度…19回
出っ歯の矯正 8 - 出っ歯の矯正 7 - セルフライゲーションブラケット装置(デイモンシステム)(上下左右4本抜歯)
20代・男性
気になるところ
上の前歯の横の歯が奥まっているのが気になる → 上顎右側切歯の舌側転位を伴う叢生症例
治療について
●注意点・リスク・副作用などを含む治療内容
上下の前歯のデコボコと前歯を奥に引っ込める為に、上下左右の第一小臼歯(計4本)を抜歯する必要があります。
前歯の横の奥まっている歯も前方に出して並べています。
その他
●治療期間…1年7ヵ月
●治療費用…900,000円 + 消費税
●治療に用いた主な装置…セルフライゲーションブラケット装置(デイモンシステム)※完成物薬機法対象外の矯正装置であり、医薬品副作用被害救済措置の対象外になることがあります。
●抜歯部位…上下顎両側4番
●通院回数・メインテナンス頻度…14回
出っ歯の矯正 9 - 上下舌側矯正装置 (上下左右4本抜歯)
20代・女性
気になるところ
上の前歯2本が前に出ているのが気になる → 上下顎前突症例
治療について
●注意点・リスク・副作用などを含む治療内容
上下の前歯のデコボコと前歯を奥へ引っ込める為に、上下左右の第一小臼歯(計4本)を抜歯して治療を行っています。
その他
●治療期間…2年
●治療費用…1,425,000円 + 消費税
●治療に用いた主な装置…リンガル(舌側)矯正装置(上下)
●抜歯部位…上下顎両側4番
●通院回数・メインテナンス頻度…18回
出っ歯の矯正 10 - 片方舌側矯正装置 (上下左右4本抜歯)
20代・女性
気になるところ
口元がでているのがきになる → 上下顎前突症例
治療について
●注意点・リスク・副作用などを含む治療内容
上下の前歯を積極的に引っ込めるために上下左右の第一小臼歯(計4本)を抜歯して治療を行いました。
下の前歯のように元々重なりが強い歯の部分は歯茎が下の方までしかないため、矯正治療で歯をきれいに並べると治療後の写真のように隙間が開いてしまう事があります。
この隙間の事をブラックトライアングル(※)と言います。 後々の歯並びの安定には関係ありませんが、見た目がどうしても気になる場合の対処法は以下の方法があります。
※ブラックトライアングルの対処法
1.矯正治療中にディスキング(歯の両端を少し削る事)を行い、そのスペースを閉じる事で歯茎が盛り上がりスペースを隠す事ができます。
スペースの量により完全に隠せない事もありますが、必ず効果はあります。ご希望の場合には私が行います。追加の費用は発生致しません。
2.歯と歯の間に虫歯になってしまった時に使用する、歯と同じ色のプラスチックの様な材料を歯の形に合うように詰めて治す方法です。
この場合、一般歯科で行っていただく事になります。健康保険の範囲ですから費用は安価です。
3.お口の中の別の部分から歯茎を取って移植する方法です。
この場合も一般歯科で行っていただくのですが、自由診療になるため数万円の費用が発生致します。
その他
●治療期間…2年
●治療費用…1,275,000円 + 消費税
●治療に用いた主な装置…ハーフリンガル(舌側矯正装置)
●抜歯部位…上下顎両側4番
●通院回数・メインテナンス頻度…19回






