初診のカウンセリングを行なっています。
お気軽にご相談ください。
MTM(部分的な矯正)とは
矯正治療は本来見た目だけの治療ではなく、咬み合わせや歯本来の機能を回復する事を目的とし、その結果として見た目がついてくるといったスタンスの治療になります。
そのため気になる所が部分的でも、全体的に治療する必要性がでてくるケースも多いです。
もし少しでも気になる所があれば気軽に矯正歯科でご相談されてみてください。
そうすれば気になるその部分だけで治療が可能なのか、全体的に治療をする必要があるのか、なぜ全体的に必要なのか、部分的な治療と全体治療のメリット、デメリット、 それぞれの期間、費用等がお聞きになれるはずです。 その上で治療されるかどうかお考えになられるのが良いと思います。
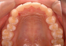
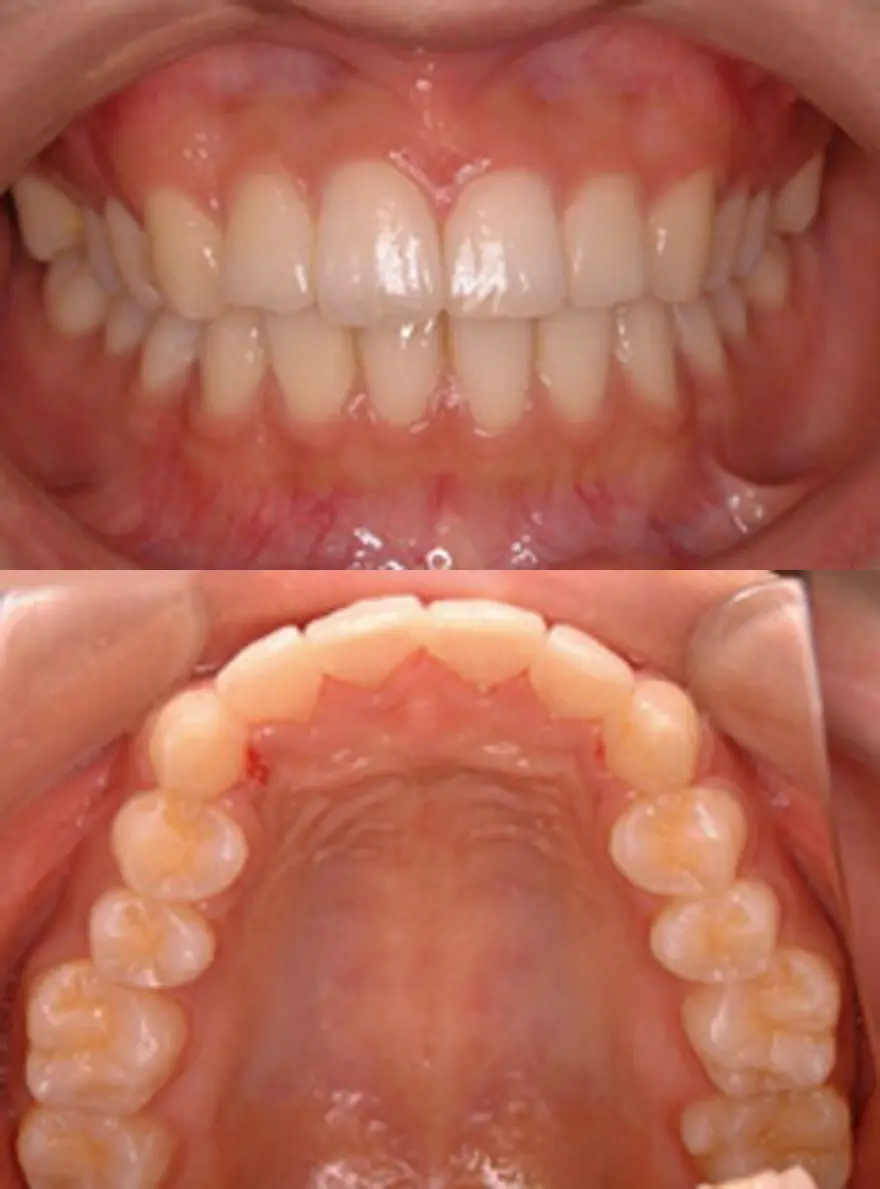
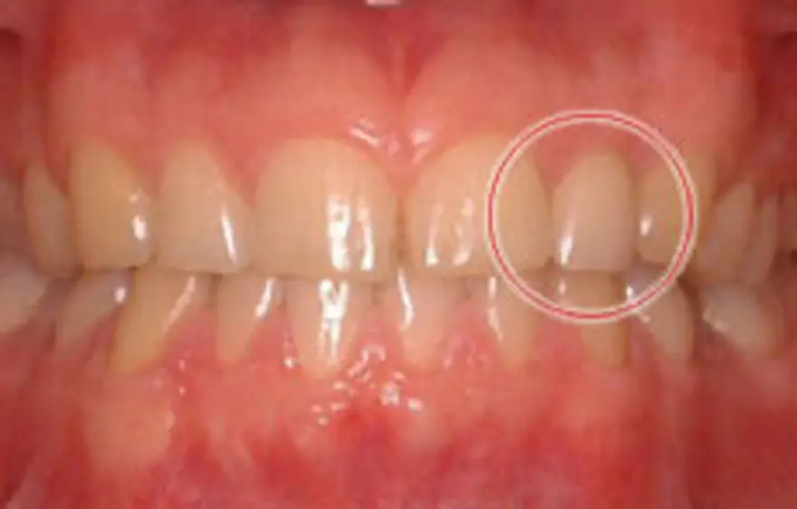
MTM(部分的な矯正)治療例1
飛び出している右の前歯だけ引っ込めたケース
| 患者様の年齢・性別 | 20代・女性 |
|---|---|
| 治療期間 | 6ヵ月 |
| 治療費用 | 320,000円 + 消費税 |
| 主訴 | 右の前歯が前に出ていること |
| 診断名・おもな症状 | 上顎右側中切歯の唇側傾斜を伴う叢生症例 |
| 治療に用いた主な装置 | セルフライゲーションブラケット装置(デイモンシステム) ※完成物薬機法対象外の矯正装置であり、医薬品副作用被害救済措置の対象外になることがあります。 |
| 治療内容(注意点・リスク・副作用などを含む) | 上顎のみ装置を装着し、右の前歯を内側に入れる為のスペースを作る為、数本の歯について歯の両端をわずかに削って引っ込めています。 歯と歯の間を削る量は決まりがあり、虫歯か歯がしみる等の原因にはならない量ですが、患者様によっては御心配になられる場合もあります。 |
| 抜歯部位 | 非抜歯 |
| 通院回数・メインテナンス頻度 | 6回 |
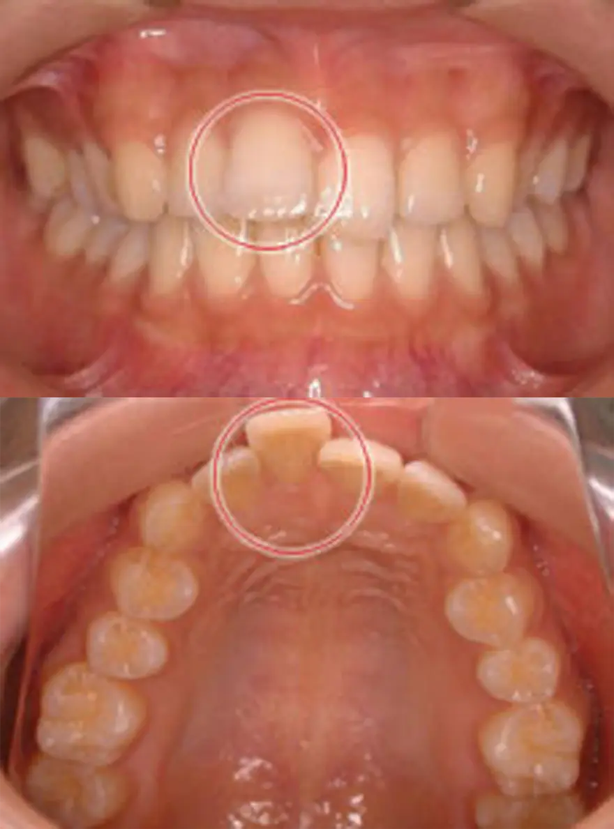
MTM(部分的な矯正)治療例2
矮小歯にセラミックを被せたケース
| 患者様の年齢・性別 | 30代・女性 |
|---|---|
| 治療期間 | 5ヵ月 |
| 治療費用 | 220,000円 + 消費税 |
| 主訴 | 前歯の隙間が気になる |
| 診断名・おもな症状 | 正中離開症例 |
| 治療に用いた主な装置 | セルフライゲーションブラケット装置(デイモンシステム) ※完成物薬機法対象外の矯正装置であり、医薬品副作用被害救済措置の対象外になることがあります。 |
| 治療内容(注意点・リスク・副作用などを含む) | 左上の前歯の横の歯が矮小歯という本来より小さい歯です。 真ん中の隙間を閉じたあと、そのままでは再度隙間があいてきてしまうので矮小歯の表面をわずかに削り、セラミックのジェルを表面につけて歯の幅を広くしています。 |
| 抜歯部位 | 非抜歯 |
| 通院回数・メインテナンス頻度 | 5回 |
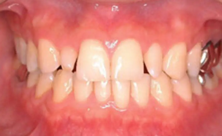
MTM(部分的な矯正)治療例3
正中離開のケース
| 患者様の年齢・性別 | 30代・男性 |
|---|---|
| 治療期間 | 5ヵ月 |
| 治療費用 | 170,000円 + 消費税 |
| 主訴 | 前歯の隙間が気になる |
| 診断名・おもな症状 | 正中離開症例 |
| 治療に用いた主な装置 | セルフライゲーションブラケット装置(デイモンシステム) ※完成物薬機法対象外の矯正装置であり、医薬品副作用被害救済措置の対象外になることがあります。 |
| 治療内容(注意点・リスク・副作用などを含む) | 真ん中があいている事の原因の1つと考えられる上唇小帯の切除を行っています。
また、こういったケースでは再度隙間が開いてくる事も多い為、保定装置の長期の使用や歯の裏側からの固定が必要となります。 |
| 抜歯部位 | 非抜歯 |
| 通院回数・メインテナンス頻度 | 5回 |
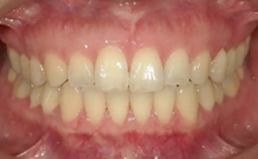
MTM(部分的な矯正)治療例4
矮小歯のあるケース
| 患者様の年齢・性別 | 20代・男性 |
|---|---|
| 治療期間 | 5ヵ月 |
| 治療費用 | 220,000円 + 消費税 |
| 主訴 | 前歯の隙間が気になる |
| 診断名・おもな症状 | 真ん中のスペースの閉鎖と右の矮小歯が裏側になってしまっているのを前方に出した症例 |
| 治療に用いた主な装置 | セルフライゲーションブラケット装置(デイモンシステム) ※完成物薬機法対象外の矯正装置であり、医薬品副作用被害救済措置の対象外になることがあります。 |
| 治療内容(注意点・リスク・副作用などを含む) | 前歯の隙間を閉じ右側の裏側にある歯を前方に移動させています。 上顎左右の前歯の隣の歯が矮小歯と言う本来より小さい歯の為、このままでは再度隙間があいてくる可能性があるので、この歯を少し大きくする治療が必要となります。 |
| 抜歯部位 | 非抜歯 |
| 通院回数・メインテナンス頻度 | 5回 |






