目立ちにくい
透明なマウスピース型の装置のため、普段の生活の中で周囲の人に気づかれることはほとんどありません。見た目を気にせず矯正治療を受けられます。
マウスピース型矯正装置(インビザライン)│KAZ矯正歯科 東京都千代田区神保町の矯正歯科
マウスピース型矯正装置(インビザライン)は、米国アライン・テクノロジー社により開発されたマウスピース型の矯正装置です。シミュレーションソフト(クリンチェック)の3次元画像技術とCAD/CAM技術、新しい歯科矯正理論の融合により治療計画に基づき、治療の最初から最後までフルカスタムメイドで行なう歯列矯正システムです。
「矯正の装置を付けることに抵抗がある」「仕事上、装置を付けられない」
そういったお悩みをもつ方は、透明なプラスチック製のマウスピース型矯正装置を使用した治療をご検討ください。
透明で歯にしっかりフィットしているため、お口をあけても装置がほとんど目立ちません。
透明なマウスピース型の装置のため、普段の生活の中で周囲の人に気づかれることはほとんどありません。見た目を気にせず矯正治療を受けられます。
着脱できる装置のため、お食事の時に取り外せます。そのため、今までどおりのお食事を楽しむことができます。
従来の矯正装置と比べ、無理に歯を動かさないことで比較的痛みを抑えられます。また、使用する素材が変わり、より痛みを抑えられるようになりました。
固定式の矯正装置の場合、治療中にワイヤーがお口の粘膜を傷つけたり、装置が部分的に外れたりするトラブルが発生することがあります。マウスピース型矯正装置(インビザライン)はワイヤーやブラケットを使用しないので、このようなトラブルを軽減できます。
金属を含まない素材なので、金属アレルギーで矯正治療を悩んでいた方も安心して治療を受けられます。
装置は取り外しができるので、歯磨きなどの際に外して、お口の中を清潔に保てます。
現在、マウスピース型矯正装置はさまざまな種類があります。見た目は似ているので、どれも同じように思われがちですが、実際には治療システムや装置の作製工程に大きな違いがあります。
たとえば、マウスピース型矯正装置(インビザライン)では、最初に光学3Dスキャナーで歯型を取ります。3次元デジタル処理された歯型のデータと患者さまの治療計画に基づき、コンピューター上でどのように動かしていくか計画を立てます。
その際、私たち矯正歯科医が無理のない動き方なのか、患者さまのご要望に沿ったゴールになるのかを検討し、細かな修正と調整を重ねて最終的な治療計画ができ上がります。
また、ほかのマウスピース型矯正装置を用いた治療と異なり、最初に取った歯型で最終形までの装置を作製できるので、何度も歯型を取ることがありません。
| マウスピース型矯正装置 (インビザライン) |
ほかのマウスピース型矯正装置 | |
|---|---|---|
| 歯型の採取 | 作製時に1回 リファインメント(※)が必要な場合は都度 |
毎回 もしくは2~3回に1度 |
| 通院間隔 | 2ヵ月に1回程度 | 2~4週間に1回 |
| 症例への対応・治療の再現性 | さまざまな症例に対応しやすく、術前に立てた計画に沿って治療を進めやすい。 |
適用できる症例にばらつきがあり、抜歯をともなう場合などはあまり向かない。 |
| 快適性 | 装着時の違和感や痛み・発音に配慮されている。 |
装着時の違和感などが強い可能性がある。 |
| 3Dシミュレーション(クリンチェック) | 治療前に3Dシミュレーション(クリンチェック)の3D動画で歯の移動や最終の治療予定を確認できる。 |
対応できない可能性がある。 |
| ※リファインメント…歯を動かしたあと、細かいズレや噛み合わせを整えるための追加調整。 | ||
マウスピース型矯正装置(インビザライン・ライト)は、奥歯の噛み合わせのズレがほとんどない、わずかなデコボコや歯が前に出ているなどのケースで適用できます。
○マウスピース型矯正装置(インビザライン・ライト)の特徴
・最大14ステージまでの装置(アライナー)を作製します。
・歯の移動は奥歯より前方に限定されます。
・3Dシミュレーション(クリンチェック)承認の前であれば、基本的なマウスピース型矯正装置(インビザライン・フル)へ変更できます。
・基本的なマウスピース型矯正装置(インビザライン・フル)よりも費用が抑えられます。
・1回のリファインメント(アライナーの再作製)が費用に含まれます。

光学印象口腔内スキャナー(iTero)とは、主にマウスピース型矯正装置(インビザライン)を用いた治療に使用する口腔内スキャナーです。
従来の粘土状のシリコン素材で取った歯型と比べ、デジタルデータなので基本的に変形することはありません。
実際、シリコン印象と比べ、歯型の取り直しは10分の1、アライナーのフィッティングの問題発生は7分の1まで減少しているデータがあります。
光学印象口腔内スキャナー(iTero)は、先端にカメラの付いたステックで歯列をなぞるようにしてスキャニングします。従来の粘土状の印象材を使用しないため、嘔吐反射が起きにくく、独特の味がお口の中に広がることもありません。また、場合によっては休みながらスキャニングすることも可能ですので、万が一気分が悪くなったらお声がけください。当院で導入している光学印象口腔内スキャナー(iTero)は、以前のものと比べて20倍の速度でスキャンでき、シリコンでの印象より短くすみます。
光学スキャナーなので、放射線を使用しません。また、シリコン印象材を誤って飲み込んでしまうこともありません。
従来は歯型を取って国際郵便で送り、現地で歯型をスキャニングして装置を作製していました。現在はデジタルデータをインターネット上で送れるため、装置の納品までの期間が従来の約半分に短縮されます。
光学スキャナーを用いた矯正治療システムですが、これによる追加費用はありません。
マウスピース型矯正装置(インビザライン)を用いた治療の補助として、部分的に固定式の装置や顎間ゴムなどを使用する場合があります。この補助装置を使用することで効率的に歯を動かせ、トータルの治療期間の短縮が見込めたり、マウスピース型矯正装置(インビザライン)単独での治療が難しいケースも適用できる可能性が高まります。
補助装置以外にも、アタッチメントと呼ばれる歯の動きをサポートするための突起を歯の表面に付けることがあります。付ける場所と形は3Dシミュレーション(クリンチェック)時にご確認いただけます。また、治療後は外しますので、歯の表面を傷つけたり、付けたまま治療が終わることはありません。



マウスピース型矯正装置(インビザライン)は、気になる部分だけを動かし、周囲の歯はなるべく動かさないようにすることが得意な治療法です。目立ちにくく部分的に、そして短期間での治療ができるかもしれません。
もちろん、その方の今のお口の状態では全体的な矯正をおすすめする場合や、部分的に行なっても安定が難しい可能性もあります。できるだけ詳しく、全体治療と部分治療のメリット・デメリットをご説明します。
少しでも気になる方は、お気軽にご相談ください。

お口の中を拝見させていただき、気になる所やお悩みをお聞きします。そのうえで現在の状態や考えられる治療法、おおよその期間や費用についてお話しします。初診相談の内容と費用は文書でもお渡ししますので、ご帰宅後にゆっくりご検討ください。
また、ご希望の方には同日に精密検査までお受けいただくこともできます。ご希望があれば、スタッフまでお知らせください。

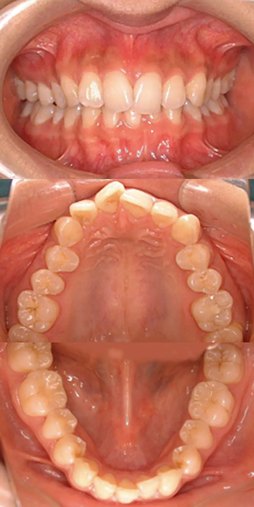
口腔内の詳しい検査、歯型の採取、口腔内の写真・レントゲン撮影などを行ないます。

検査の結果をお伝えします。
一本ごとの歯や全体の状態と問題点をお伝えし、どのような治療法があるか、治療期間はどの程度を予定しているかをご説明します。患者さまのご希望をふまえ、治療方針を決定します。
その後、マウスピース型矯正装置(インビザライン)の3Dシミュレーション(クリンチェック)をするために光学印象口腔内スキャナー(iTero)にて口腔内のスキャニングを行ないます。

さまざまな資料をもとに、患者さまの治療シミュレーションができ上がります。 3Dシミュレーション(クリンチェック)とよばれるこのシミュレーションソフトにより、治療開始から完了までの治療計画と歯の移動を3Dでご確認いただけます。シミュレーションを一緒にご覧いただき、仕上がりや治療計画のご説明をいたします。ご納得いただけたらアライナー(装置)の作製に入ります。

アライナー(装置)の着脱の練習と取り扱い方、注意事項などをご説明します。
装置の取り外しは、もともとの歯並びによっては少し難しい場合もありますが、必ず慣れますのでご安心ください。慣れれば5秒ほどで取り外しができるようになります。その後、ご来院時にアタッチメント(※1)の装着や必要があればIPR(※2)を行なっていきます。
2回目以降の通院は2~3ヵ月に1回、クリーニングを含め30~60分位の治療時間になります。治療中は毎日20時間以上の装着を守るよう心がけてください。
すべてのアライナーが終了した後、歯をさらに動かす必要がある場合には、追加のアライナーをいくつか作製し、治療を継続していきます。
※1 アタッチメント…歯の表面に歯と同じ色の突起をつけることで、歯の移動の補助をします。歯の表面に付けるときや外すときに歯の表面を削ることはありません。治療後には完全に外します。
※2 IPR…歯と歯の間を最大で0.5mmほど削る処置です。痛みや知覚過敏が生じにくい範囲で行ないます。

リテーナー(保定装置)を作製するための歯型を採取します。

歯の表面についているアタッチメントを外し、全体のクリーニングをしたあとに保定装置を付けます。保定装置の使用方法や注意事項などについて、詳しくご説明します。
保定期間は約1年6ヵ月です。この期間は4ヵ月に1回来院していただき、お口の中とリテーナー(保定装置)のチェック、歯のクリーニングを行なっていきます。

リテーナー(保定装置)の使用状態などをチェックします。また、終了の記録として歯型の採取やレントゲン写真撮影などを行ないます。

保定期間が終わると治療も終了です。ご希望の患者さまには、定期的に来院していただき、お口の状態を確認することもできます。
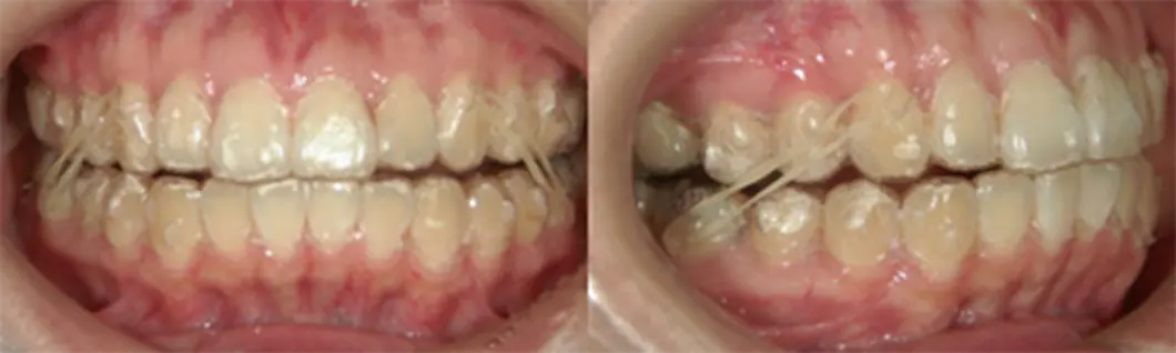
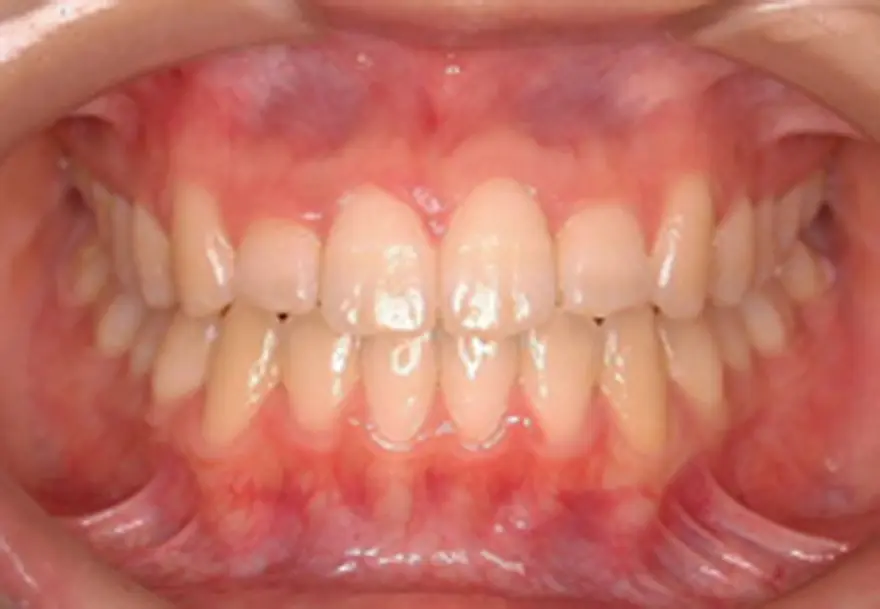
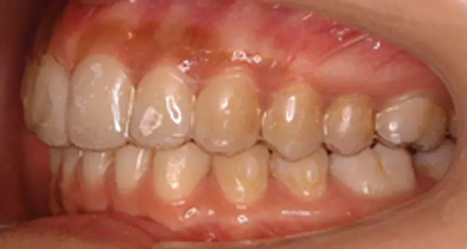
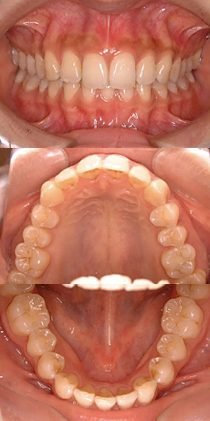
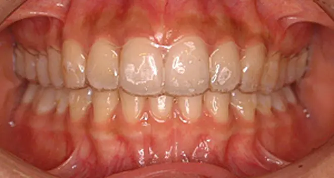
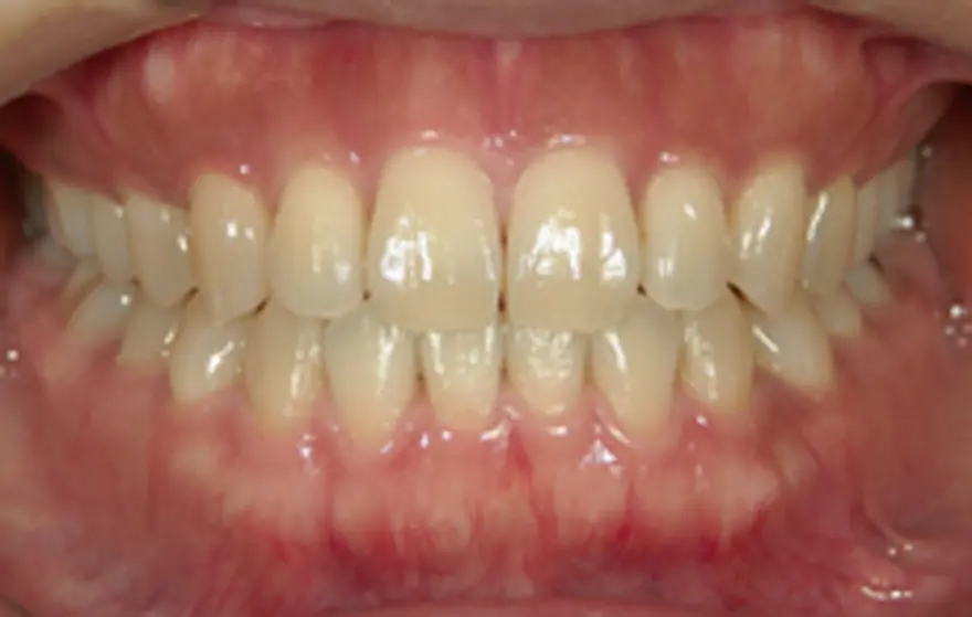
| 患者さまの年齢・性別 | 30代・女性 |
|---|---|
| 治療期間 | 1年6ヵ月 |
| 治療費(税込) | 1,012,000円 |
| 主訴 | 上の歯が出ている。 |
| 診断名・主な症状 | 上顎前突 |
| 治療に用いた主な装置 | マウスピース型矯正装置 |
| 治療内容 | マウスピース型矯正装置と取り外しのできるゴムを併用することで、上顎前歯を引っ込める治療を行ないました。 |
| 抜歯部位 | 非抜歯 |
| 通院回数・メンテナンス頻度 | 10回 |
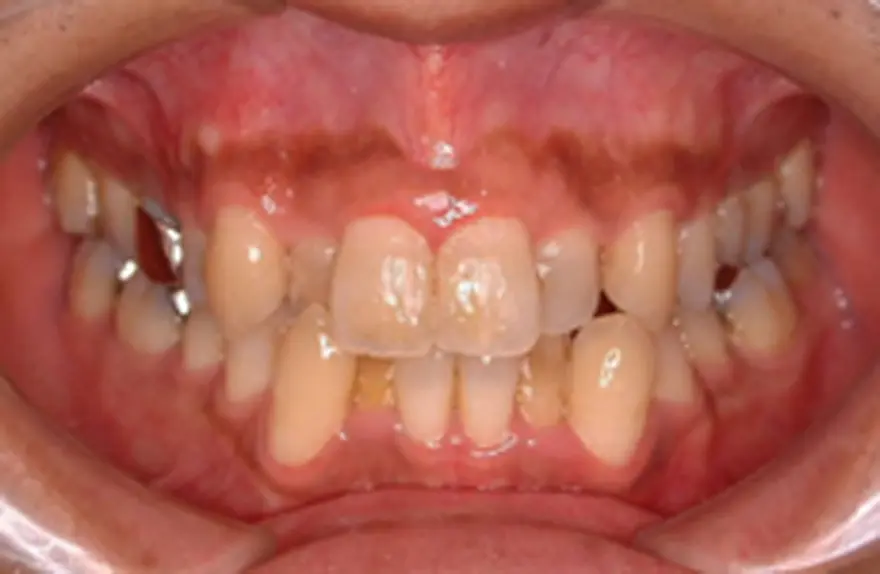
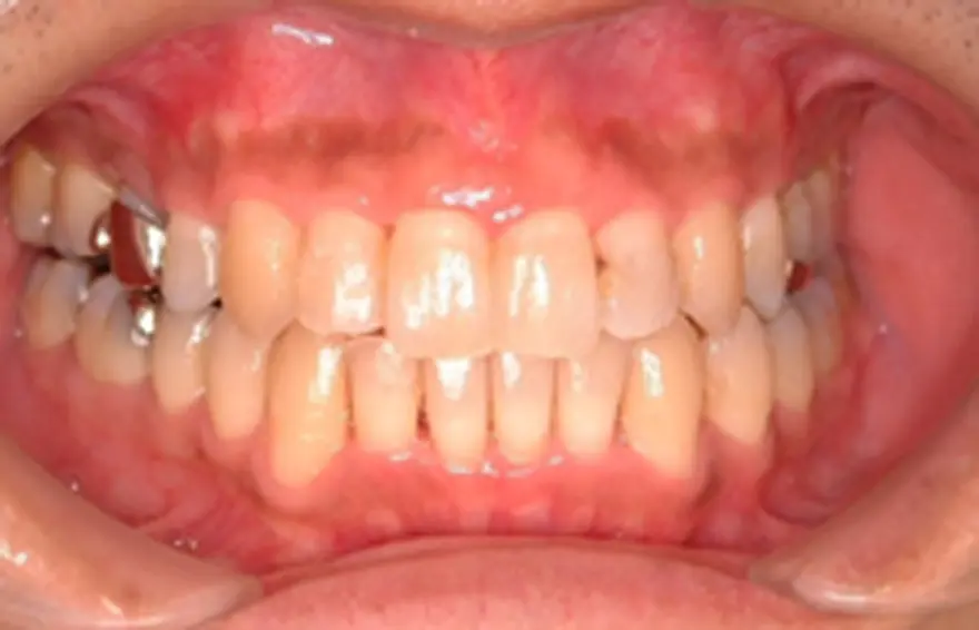
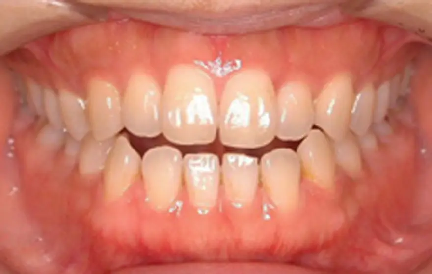
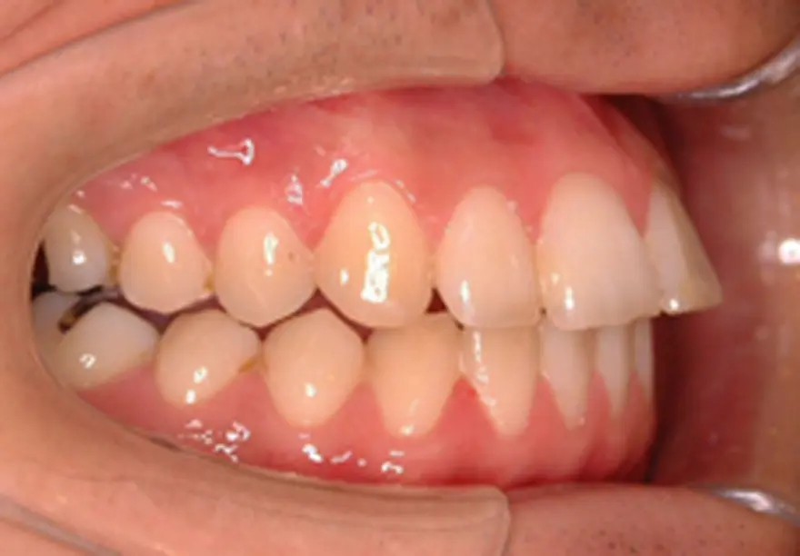
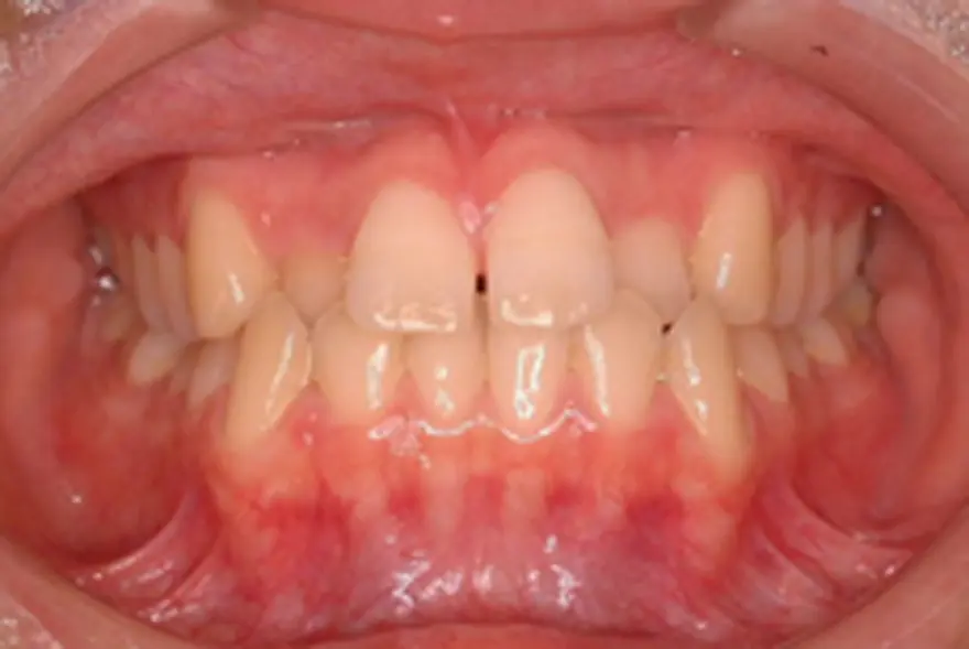
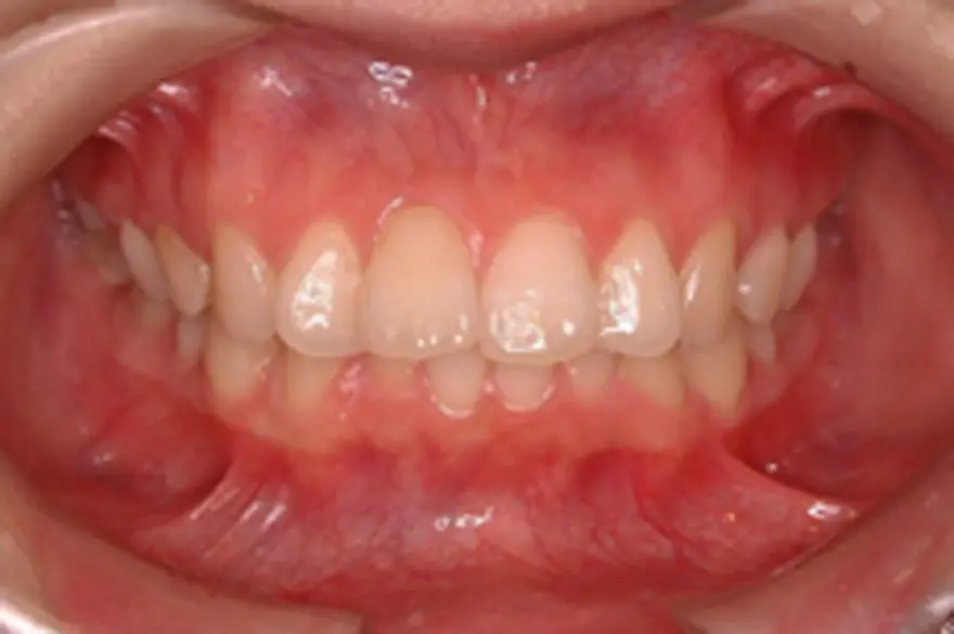
| 患者さまの年齢・性別 | 20代・女性 |
|---|---|
| 治療期間 | 1年8ヵ月 |
| 治療費(税込) | 1,012,000円 |
| 主訴 | 上下の前歯がデコボコしている。 |
| 診断名・主な症状 | 叢生 |
| 治療に用いた主な装置 | マウスピース型矯正装置 |
| 治療内容 | 歯を抜かず、IPR(歯と歯の間をわずかに削ること)で歯を並べるスペースをつくり、治療を行ないました。歯のねじれの大きな症例では、治療後にブラックトライアングル(※)が生じる可能性があります。※ブラックトライアングル…歯と歯の間の歯肉が退縮し、三角形の隙間ができること。 |
| 抜歯部位 | 非抜歯 |
| 通院回数・メンテナンス頻度 | 11回 |
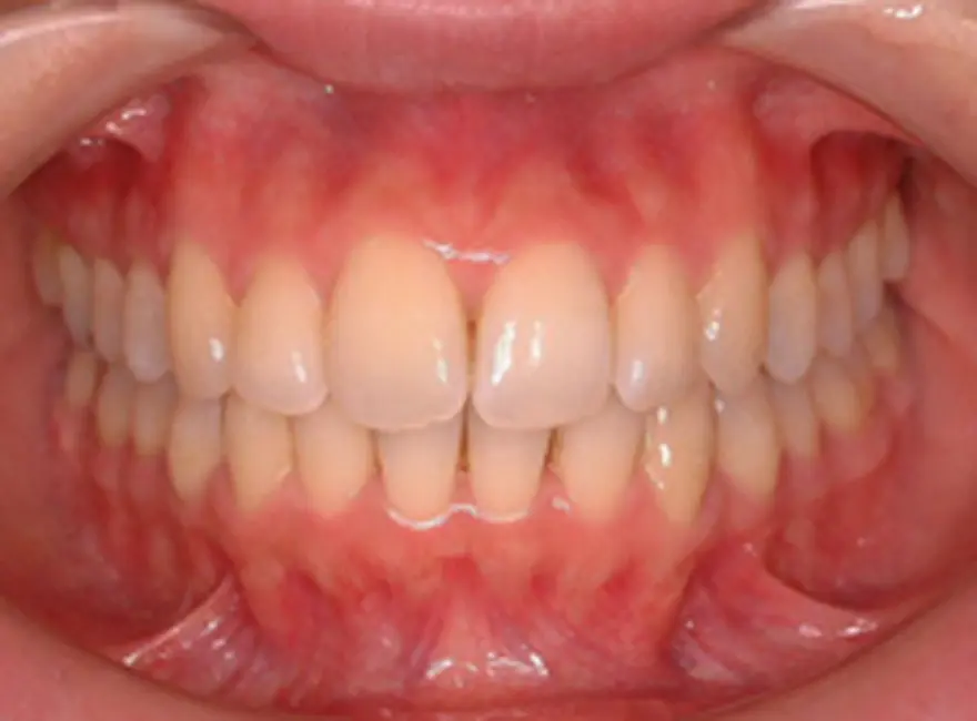
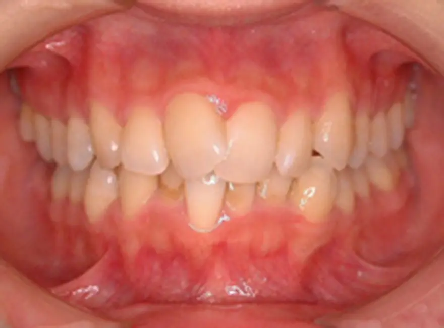
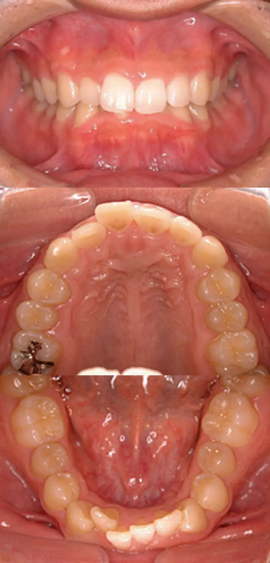
| 患者さまの年齢・性別 | 30代・男性 |
|---|---|
| 治療期間 | 1年10ヵ月 |
| 治療費(税込) | 1,012,000円 |
| 主訴 | 上下の前歯がデコボコしている。 |
| 診断名・主な症状 | 叢生 |
| 治療に用いた主な装置 | マウスピース型矯正装置 |
| 治療内容 | 歯を抜かず、IPR(歯と歯の間をわずかに削ること)で歯を並べるスペースをつくり、治療を行ないました。歯のねじれの大きな症例では、治療後にブラックトライアングル(※)が生じる可能性があります。※ ブラックトライアングル…歯と歯の間の歯肉が退縮し、三角形の隙間ができること。 |
| 抜歯部位 | 非抜歯 |
| 通院回数・メンテナンス頻度 | 11回 |
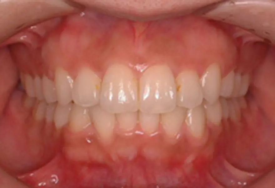
| 患者さまの年齢・性別 | 20代・女性 |
|---|---|
| 治療期間 | 1年4ヵ月 |
| 治療費(税込) | 946,000円 |
| 主訴 | 前歯がデコボコしている。 |
| 診断名・主な症状 | 下顎前歯の先天性欠損を有する叢生 |
| 治療に用いた主な装置 | マウスピース型矯正装置 |
| 治療内容 | 上下顎前歯のデコボコを改善するため、IPRを行なってから治療しています。この症例では、下顎前歯が元々1本足りないため、上下の正中は一致しません。 |
| 抜歯部位 | 非抜歯 |
| 通院回数・メンテナンス頻度 | 8回 |
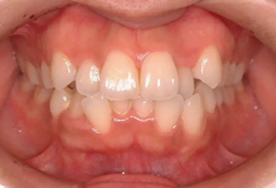
| 患者さまの年齢・性別 | 20代・女性 |
|---|---|
| 治療期間 | 1年4ヵ月 |
| 治療費(税込) | 946,000円 |
| 主訴 | 前歯がデコボコしている。 |
| 診断名・主な症状 | 過蓋咬合をともなう叢生 |
| 治療に用いた主な装置 | マウスピース型矯正装置 |
| 治療内容 | 過蓋咬合と上下の歯のデコボコの改善のため、IPRを行なってから治療を行ないました。 |
| 抜歯部位 | 非抜歯 |
| 通院回数・メンテナンス頻度 | 9回 |
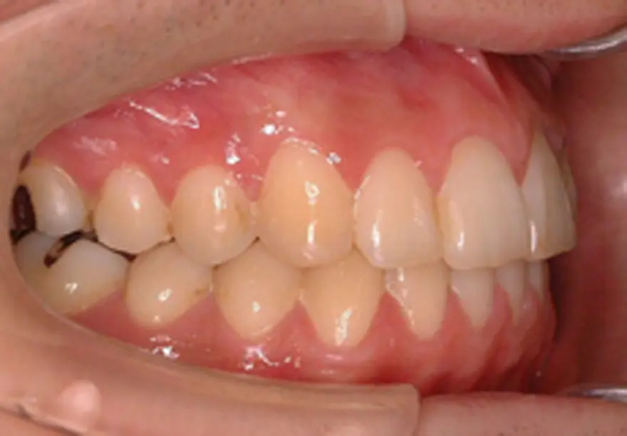
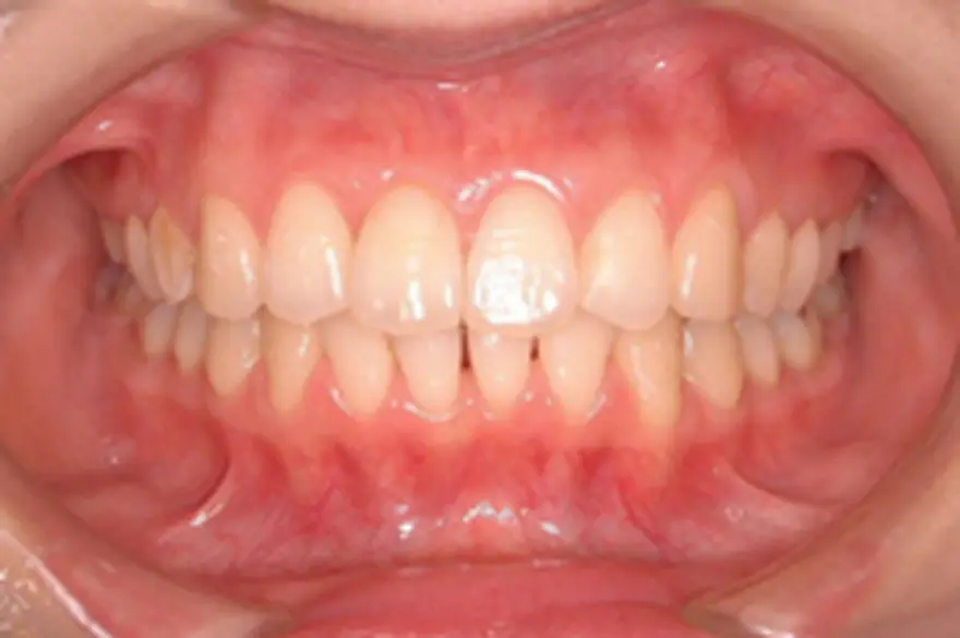
| 患者さまの年齢・性別 | 20代・女性 |
|---|---|
| 治療期間 | 1年8ヵ月 |
| 治療費(税込) | 1,012,000円 |
| 主訴 | 上の歯が出ている。 |
| 診断名・主な症状 | 上顎前突 |
| 治療に用いた主な装置 | マウスピース型矯正装置 |
| 治療内容 | マウスピース型矯正装置と取り外しのできるゴムを併用することで、上顎前歯を引っ込めて治療を行ないました。 |
| 抜歯部位 | 非抜歯 |
| 通院回数・メンテナンス頻度 | 10回 |
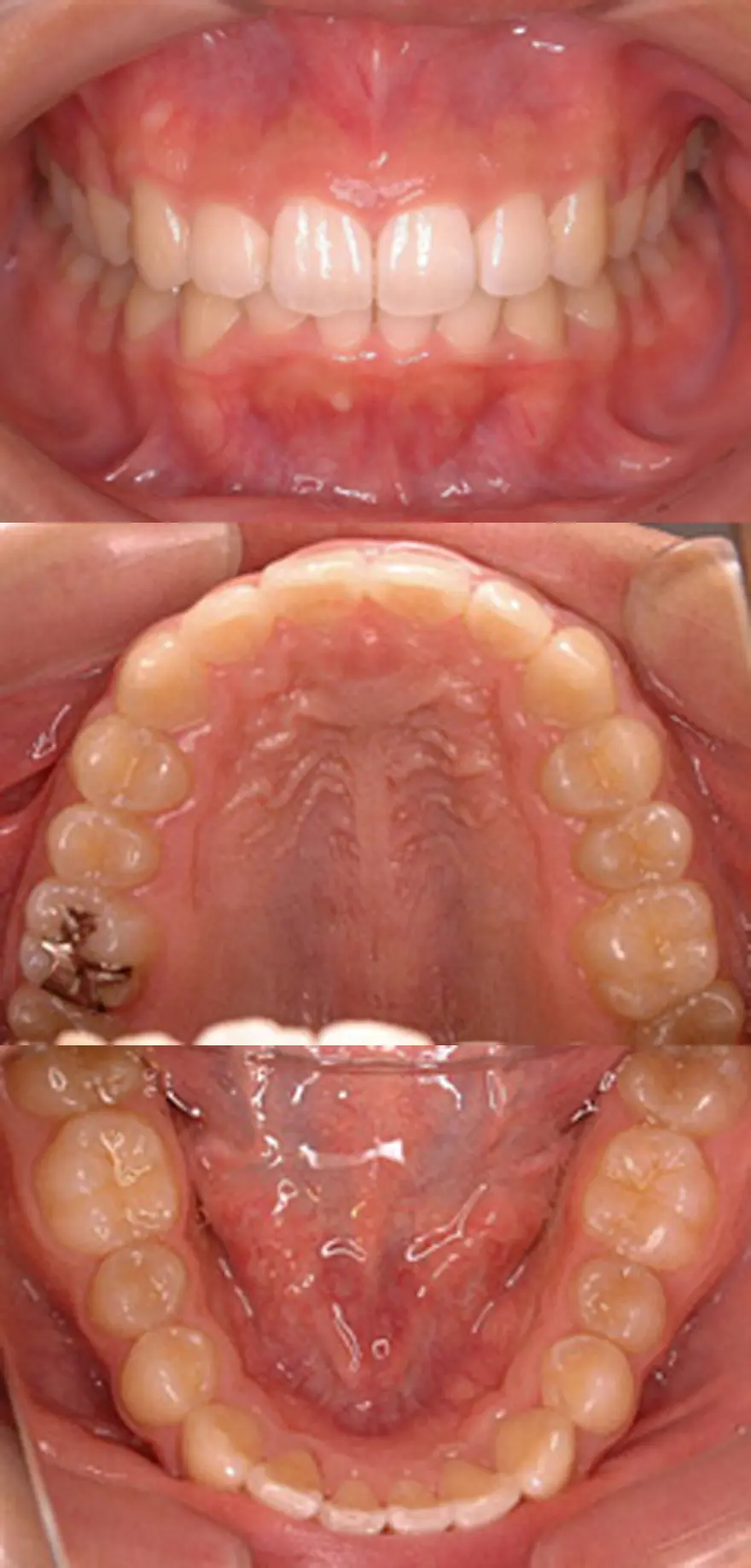
| 患者さまの年齢・性別 | 30代・男性 |
|---|---|
| 治療期間 | 1年9ヵ月 |
| 治療費(税込) | 1,012,000円 |
| 主訴 | 歯がデコボコしている |
| 診断名・主な症状 | 叢生 |
| 治療に用いた主な装置 | マウスピース型矯正装置 |
| 治療内容 | 歯を抜かず、IPRで歯を並べるスペースをつくり、治療を行ないました。歯のねじれの大きな症例では、治療後にブラックトライアングル(※)が生じる可能性があります。※ ブラックトライアングル…歯と歯の間の歯肉が退縮し、三角形の隙間ができること。 |
| 抜歯部位 | 非抜歯 |
| 通院回数・メンテナンス頻度 | 11回 |
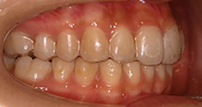
| 患者さまの年齢・性別 | 20代・男性 |
|---|---|
| 治療期間 | 1年6ヵ月 |
| 治療費(税込) | 1,012,000円 |
| 主訴 | 前歯の横の歯が裏側になっている。 |
| 診断名・主な症状 | 上顎両側側切歯の舌側転位をともなう叢生 |
| 治療に用いた主な装置 | マウスピース型矯正装置 |
| 治療内容 | 前歯の横の歯が奥に引っ込んでいる、前歯の真ん中に隙間があるのを、歯を抜かずに治療しました。前歯の横の歯が前方にでてくるときに一時的に噛みにくくなることがあります。 |
| 抜歯部位 | 非抜歯 |
| 通院回数・メンテナンス頻度 | 9回 |
| 患者さまの年齢・性別 | 20代・女性 |
|---|---|
| 治療期間 | 1年4ヵ月 |
| 治療費(税込) | 946,000円 |
| 主訴 | 前歯で噛めない。 |
| 診断名・主な症状 | 開咬 |
| 治療に用いた主な装置 | マウスピース型矯正装置 |
| 治療内容 | 上下の前歯が噛まない開咬という症状を治療した症例です。物や水分を飲み込むように舌を前に出す癖があったので、矯正治療中に舌癖を正すトレーニングも行ないました。 |
| 抜歯部位 | 非抜歯 |
| 通院回数・メンテナンス頻度 | 8回 |
A歯はどのような装置でも一定方向に持続的に力をかけ続ければ動きます。
マウスピース型矯正装置(インビザライン)は多くの臨床データをもとに、より精度の高い治療計画が作れます。その治療計画をもとに治療開始から終了までを何十段階にも細分化し、1回で0.25mmずつ移動させていきます。
A取り外しできるので、お食事や歯磨きの際に外すタイミングがうまれると固定式の装置のように24時間作用しません。そのため、固定式の装置より若干期間が延びる傾向にはあります。しかし、マウスピース型矯正装置(インビザライン)の治療では、歯の動きにほとんどムダがなく、目標の位置まで最短距離で動くため、症例によっては短くなるケースもあります。
A歯並びの状態により着脱の難しさは異なりますが、繰り返していくうちに必ず慣れてきますからご安心ください。また、ネイルなどをしていて外しにくい場合は、装置を外す専用のリムーバーがありますのでご検討ください。
A痛みの感じ方には個人差がありますが、固定式の装置より痛みは抑えられるようです。通常2~3日あれば慣れます。
マウスピース型矯正装置(インビザライン)は1枚のアライナーでの歯の移動量が制限されているので、過度な力が歯にかからない、アライナーでカバーされているので、歯と歯が直接ぶつからないことも痛みを抑えられる理由だと思います。
Aアライナーに目立った汚れがつくことや歯の動きの妨げにはなりません。しかし、喫煙後は清掃していただき、装置を清潔に保つよう心がけてください。
A「上の歯だけ」「下の歯だけ」治すマウスピース型矯正装置もありますので可能です。しかし、噛み合わせの状態によって全体的な治療でないと難しいケースもあります。
Aインプラントは動きませんので、その歯を動かさないという前提での治療計画であれば可能です。個々のケースによって異なりますので、詳しくはご相談ください。
Aまずは初診相談をご利用ください。初診のカウンセリングだけでもマウスピース型矯正装置(インビザライン)で治療できるかどうか、おおよその期間と費用もお知らせできます。
Aマウスピース型矯正装置(インビザライン)の治療が始まると通院は約2ヵ月に1回のペースになります。頻繁に来院していただく必要はありません。
A患者さまの歯磨きの精度や、好みの飲み物・食べ物、唾液の状態によって差はありますが、多少の着色は起こります。しかし、アライナーは2週間で新しいものへ交換をしていきますので、あまり気にならないと思います。
A唾液は歯に着いた汚れを、ある程度落としてくれる役割があります。しかし、アライナーを使用することで歯の表面に唾液があたらない時間が増えます。歯磨きが不充分だったりすると、虫歯や口臭の原因になる可能性が高まります。
ですので、アライナーを付ける前には必ず歯磨きをおすすめします。また、歯磨きをあまりしないでアライナーを装着していると、やはり口臭の原因にもなります。
A舌側矯正装置の場合には、基本的に治療ができない方はまれです。マウスピース型矯正装置(インビザライン)の場合、歯を抜かなくてよい症例に適しているため、重度の叢生などの患者さまには適用できない可能性があります。
A歯を少し削って隙間を作り、治療を行なうこともありますが、必ず削るわけではありません。
Aすぐに当院までご連絡ください。治療の進捗により次のステージのアライナーに進んでいただくか、新しいアライナーを作製するか判断します。
A一般的には歯を抜くケースにはあまり適しませんが、こういったケースでも、固定式の装置を併用することで治療できる場合もあります。まずはお気軽にご相談ください。
A当院では食事・歯磨きの時をのぞき、1日20時間以上の装着をお願いしています。そうすることで少しずつ歯が動いていきますので、毎日の継続的な使用が必要となります。
A基本的には食事と歯磨きの時は外していただき、それ以外の時間で1日20時間以上使用するよう、お話ししています。寝ている間だけの使用では、予定より治療期間が大幅に延長してしまうためおすすめできません。
・矯正治療の一般的な治療費は60万~150万円、一般的な治療期間は2~3年、一般的な治療回数は24~36回となります。使用する装置、症状や治療の進行状況などにより変化しますので、参考程度にお考えいただき、詳細は歯科医師にご確認ください。
・機能性や審美性を重視するため、公的健康保険対象外の自費診療となり、保険診療よりも高額になります。
・最初は矯正装置による不快感、痛みなどがあります。数日から1~2週間で慣れることが多いです。
・歯の動き方には個人差があるため、治療期間が予想より長期化することがあります。
・装置や顎間ゴムの扱い方、定期的な通院など、矯正治療では患者さまのご協力がたいへん重要であり、それらが治療結果や治療期間に影響します。
・治療中は、装置がついているため歯が磨きにくくなります。虫歯や歯周病のリスクが高まるので、丁寧な歯磨きや定期メンテナンスの受診が大切です。また、歯が動くことで見えなかった虫歯が見えるようになることもあります。
・歯を動かすことにより歯根が吸収され、短くなることがあります。また、歯肉が痩せて下がることがあります。
・ごくまれに、歯が骨と癒着していて歯が動かないことがあります。
・ごくまれに、歯を動かすことで神経に障害を与え、神経が壊死することがあります。
・治療中に金属などのアレルギー症状が出ることがあります。
・治療中に、「顎関節で音が鳴る、顎が痛い、口をあけにくい」などの顎関節症状が出ることがあります。
・問題が生じた場合、当初の治療計画を変更することがあります。
・歯の形状の修正や、噛み合わせの微調整を行なうことがあります。
・矯正装置を誤飲する可能性があります。
・装置を外すときに、エナメル質に微小な亀裂が入る可能性や、補綴物(被せ物など)の一部が破損することがあります。
・装置を外したあと、保定装置を指示どおりに使用しないと後戻りが生じる可能性が高くなります。
・装置を外したあと、現在の噛み合わせに合わせて補綴物(被せ物など)の作製や虫歯治療などをやり直す可能性があります。
・顎の成長発育により、歯並びや噛み合わせが変化する可能性があります。
・治療後に、親知らずの影響で歯並びや噛み合わせが変化する可能性があります。
・加齢や歯周病などにより、歯並びや噛み合わせが変化することがあります。
・矯正治療は、一度始めると元の状態に戻すことが難しくなります。
・機能性や審美性を重視するため、公的健康保険対象外の自費診療となり、保険診療よりも高額になります。
・正しい装着方法で1日20時間以上使用しないと、目標とする治療結果を得られないことがあるため、きちんとした自己管理が必要になります。
・ご自身で取り外せるため、紛失することがあります。
・症状によっては、マウスピース型矯正装置(インビザライン)で治療できないことがあります。
・お口の中の状態によっては、治療計画どおりの結果が得られないことがあります。
・装着したまま糖分の入った飲料をとると、虫歯を発症しやすくなります。
・治療によって、まれに歯根吸収や歯肉退縮が起こることがあります。
・食いしばりの癖が強い方の場合、奥歯が噛まなくなることがあります。
・治療途中で、ワイヤーを使う治療への変更が必要になることがあります。
・お口の状態によっては、マウスピース型矯正装置(インビザライン)に加え、補助矯正装置が必要になることがあります。
・治療完了後は後戻りを防ぐため、保定装置の装着が必要になります。
・薬機法(医薬品医療機器等法)においてまだ承認されていない医療機器です。日本では完成物薬機法対象外の装置であり、医薬品副作用被害救済措置の対象外となることがあります。
当院でご提供している「マウスピース型矯正装置(インビザライン)」は、薬機法(医薬品医療機器等法)においてまだ承認されていない医療機器となりますが、当院ではその有効性を認め、導入しています。
◦未承認医療機器に該当
薬機法上の承認を得ていません(独立行政法人 医薬品医療機器総合機構ウェブサイトにて2026年2月5日最終確認)。
◦入手経路等
アライン・テクノロジー社(日本法人:インビザライン・ジャパン合同会社)より入手しています。
◦国内の承認医療機器等の有無
国内では、マウスピース型矯正装置(インビザライン)と同様の性能を有した承認医療機器は存在しない可能性があります(独立行政法人 医薬品医療機器総合機構ウェブサイトにて2026年2月5日最終確認)。
◦諸外国における安全性等にかかわる情報
1998年にFDA(米国食品医薬品局)により医療機器として認証を受けていますが、情報が不足しているため、ここでは諸外国における安全性等にかかわる情報は明示できません。今後重大なリスク・副作用が報告される可能性があります。
◦医薬品副作用被害救済制度・生物由来製品感染等被害救済制度の救済対象外
国内で承認を受けて製造販売されている医薬品・医療機器(生物由来等製品である場合に限る)・再生医療等製品による副作用やウイルス等による感染被害で、万が一健康被害があったとき、「医薬品副作用被害救済制度」「生物由来製品感染等被害救済制度」などの公的な救済制度が適用されますが、未承認医薬品・医療機器・再生医療等製品の使用は救済の対象にはなりません。また、承認を受けて製造販売されている医薬品・医療機器・再生医療等製品であっても、原則として決められた効能・効果、用法・用量および使用上の注意に従って使用されていない場合は、救済の対象にはなりません。
日本では、完成物薬機法対象外の矯正装置であり、医薬品副作用被害救済制度の対象外となります。
※当該未承認医薬品・医療機器を用いた治療の広告に対する注意事項の情報の正確性について、本ウェブサイトの関係者は一切責任を負いません。
・薬機法(医薬品医療機器等法)において承認された医療機器です。光学的に口腔内の印象を採得し、ディスプレイに表示して診療や患者さまへのご説明に使用したり、採得した3Dデータに基づき、マウスピース型矯正装置(インビザライン)や補綴物などの設計・製造に使用します。
・3D口腔内スキャナー(iTero)を使用して行なうマウスピース型矯正装置(インビザライン)を用いた治療は、機能性や審美性を重視するため、公的健康保険対象外の自費診療となり、保険診療よりも高額になります。
・印象剤を使用した従来の印象採得に比べ、印象採得時の不快感は大幅に軽減されますが、お口の中にスキャナーが入るため、ごくまれに多少の不快感を覚えることがあります。
・薬機法(医薬品医療機器等法)において承認された医療機器です。3D画像を使用して、矯正装置を作製するための治療計画を確認し、変更指示・承認・患者さまへのご説明に使用します。
・3Dシミュレーションソフト(クリンチェック・ソフトウェア)を使用して行なうマウスピース型矯正装置(インビザライン)を用いた治療は、機能性や審美性を重視するため、公的健康保険対象外の自費診療となり、保険診療よりも高額になります。
・どの矯正医が担当しても同じ治療結果が得られるというわけではなく、必ずしもシミュレーションどおりに治療が進むというわけではありません。
・あくまでシミュレーションなので、実際には難しい歯の移動が組み込まれていると、歯が骨からはみ出して歯肉が下がってしまうなどの可能性があります。
・歯と歯の間の隙間を少し削ることで歯列を整えるための矯正治療の一手法です。
・IPR・ディスキングは矯正治療の一手法として行ないます。矯正治療は公的健康保険対象外の自費診療となり、保険診療よりも高額になります。
・歯の痛みや違和感を覚える場合があります。
・エナメル質は一度削ると再生しないため、必要以上のIPR・ディスキングは避ける必要があります。
・IPR・ディスキングを行なった部分に、わずかな変色が見られることがあります。
・IPR・ディスキングを行なっても、歯並びが再び乱れる可能性があります。
・矯正治療で整えた歯並びが元の状態に戻る「後戻り」を防ぐために、矯正治療終了後に装着する装置です。
・機能性や審美性を重視するため、公的健康保険対象外の自費診療となり、保険診療よりも高額になります。
・マウスピース型、プレート型、ワイヤー型などがあり、治療後の歯並びの状態に応じて歯科医師の指示に従い、正しい期間・方法で使用することが重要です。
・治療期間は、矯正治療の内容や歯の状態によって異なりますが、一般的に1~3年程度です。
・最初は食事や歯磨き以外の時間を装着し、その後、歯が安定してきたら夜間のみなど、徐々に短くしていきます。
・指示された期間は必ず装着を続けることが重要です。
・整った歯並びを維持するため、就寝時のみでも生涯にわたり装着を続けることが推奨されることもあります。
・装着を忘れると後戻りが生じ、リテーナーが合わなくなる可能性があります。
・食べ物が装置につきやすく、歯を磨きにくくなります。特にワイヤーやねじの部分に汚れが溜まりやすいので、仕上げ磨きをするなどご家族のサポートが必要になることがあります。
・固定式のものは、ご自身では取り外せません。
・固定式のものは、歯磨きがきちんとできていないと虫歯を発症するリスクが高まります。
・取り外し式のものは、毎日の装着を怠ると、良好な治療結果を得られないことがあります。