初診(約60分)
矯正治療についてのご説明と進め方、現在のお口の中の状態をお話しします。お話しするなかで、治療に関するさまざまな疑問や心配なことがあれば、院長と専任のスタッフがお聞きします。遠慮なさらず、お気軽にご質問ください。おおよその治療法・期間・費用についてもご説明します。
矯正歯科治療の流れ│KAZ矯正歯科 東京都千代田区神保町の矯正歯科

矯正治療についてのご説明と進め方、現在のお口の中の状態をお話しします。お話しするなかで、治療に関するさまざまな疑問や心配なことがあれば、院長と専任のスタッフがお聞きします。遠慮なさらず、お気軽にご質問ください。おおよその治療法・期間・費用についてもご説明します。
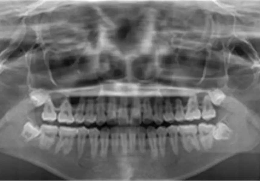
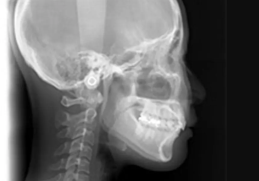
レントゲン・写真撮影・歯型の採取などの精密検査を行ないます。
KAZ矯正歯科のレントゲンは全てデジタル化されており、従来の装置と比べX線照射線量は1/10以下と大幅に低減されています。被ばくが心配な方も、どうぞご安心ください。
また、患者さまのご希望があれば、初診と同日に検査を行なうこともできます。検査を行なう場合は、初診のご相談と合わせて、約90分かかります。

精密検査を元にした患者さまの治療計画をお話しします。患者さまのご希望をふまえ、最終的に治療法・期間・費用などを決定します。
虫歯の治療や抜歯が必要な場合は一般歯科にて治療をお願いしています。
※装置の種類によっては歯型を取る場合があります。その際は、診断を含め 90分ほどのお時間をいただきます。
装置を付けた後、どのような変化があるのか、装置の注意点・虫歯や歯周病予防のための正しいブラッシング方法などをご説明します。また、矯正治療中のお食事での注意点も合わせてご案内します。

歯の移動(動的治療)の期間は患者さまの歯並びや顔の骨格の状態により異なります。大人の矯正では、およそ1~2年半ほどかかります。
この間の通院は、通常4~8週間に1回となります。マウスピース型矯正装置(インビザライン)では、通常8~10週間です。

歯の移動後、移動した歯が骨の中で安定するまで、保定装置をご使用いただきます。
この間の通院は通常3~4ヵ月に1回となります。
※歯の移動の期間終了時には承諾書をいただいています。また、保定装置の紛失・変更および複数の装置の作製を希望される場合は別途、費用をいただく場合があります。
矯正治療によって動かされた歯や顎を、その位置で安定するように周囲の環境を整えるための装置です。リテーナーは、治療前の状態や患者さまのお好みにより使い分けています。また、患者さまによってご使用できないリテーナーもあります。
歯列全体を覆う透明で取り外し可能なマウスピースタイプの装置です。
個人差はありますが、装着当初は違和感があり、話しづらくなります。1週間~1ヵ月程度で慣れる方が多いようです。目立ちにくく、審美性に配慮した装置です。
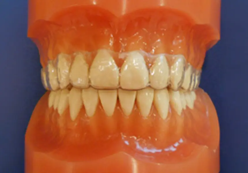
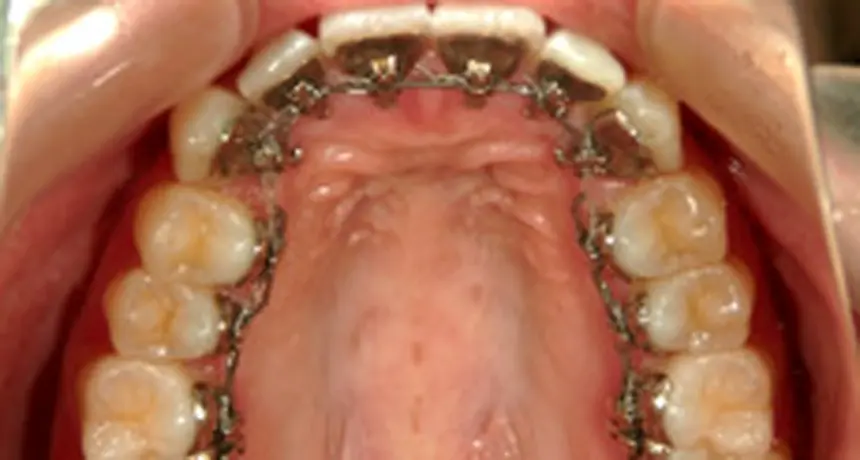
細いワイヤーを治療後の歯列に合わせて曲げ、歯の裏側に専用の接着剤で付けて保定する固定式の装置です。違和感は一番少ないといわれています。
治療前の歯列、治療後の状態により異なりますが、左右の犬歯~犬歯、または小臼歯~小臼歯を固定します。
歯の裏側に装着するので表側からは見えにくい特徴があります。固定式なので取り外しの面倒な操作はありませんが、装置の周囲に汚れがつきやすいという欠点があります。歯磨きの方法や注意点は装着時に説明しますので、ご参考になさってください。
表はワイヤーで押さえ、裏側はプラスチック(レジン床)で構成されている取り外しのできる装置です。
個人差はありますが、装着当初は多少違和感があり、話しづらくなることもあります。1週間~1ヵ月程度で慣れる方が多いようです。
・矯正治療の一般的な治療費は60万~150万円、一般的な治療期間は2~3年、一般的な治療回数は24~36回となります。使用する装置、症状や治療の進行状況などにより変化しますので、参考程度にお考えいただき、詳細は歯科医師にご確認ください。
・機能性や審美性を重視するため、公的健康保険対象外の自費診療となり、保険診療よりも高額になります。
・最初は矯正装置による不快感、痛みなどがあります。数日から1~2週間で慣れることが多いです。
・歯の動き方には個人差があるため、治療期間が予想より長期化することがあります。
・装置や顎間ゴムの扱い方、定期的な通院など、矯正治療では患者さまのご協力がたいへん重要であり、それらが治療結果や治療期間に影響します。
・治療中は、装置がついているため歯が磨きにくくなります。虫歯や歯周病のリスクが高まるので、丁寧な歯磨きや定期メンテナンスの受診が大切です。また、歯が動くことで見えなかった虫歯が見えるようになることもあります。
・歯を動かすことにより歯根が吸収され、短くなることがあります。また、歯肉が痩せて下がることがあります。
・ごくまれに、歯が骨と癒着していて歯が動かないことがあります。
・ごくまれに、歯を動かすことで神経に障害を与え、神経が壊死することがあります。
・治療中に金属などのアレルギー症状が出ることがあります。
・治療中に、「顎関節で音が鳴る、顎が痛い、口をあけにくい」などの顎関節症状が出ることがあります。
・問題が生じた場合、当初の治療計画を変更することがあります。
・歯の形状の修正や、噛み合わせの微調整を行なうことがあります。
・矯正装置を誤飲する可能性があります。
・装置を外すときに、エナメル質に微小な亀裂が入る可能性や、補綴物(被せ物など)の一部が破損することがあります。
・装置を外したあと、保定装置を指示どおりに使用しないと後戻りが生じる可能性が高くなります。
・装置を外したあと、現在の噛み合わせに合わせて補綴物(被せ物など)の作製や虫歯治療などをやり直す可能性があります。
・顎の成長発育により、歯並びや噛み合わせが変化する可能性があります。
・治療後に、親知らずの影響で歯並びや噛み合わせが変化する可能性があります。
・加齢や歯周病などにより、歯並びや噛み合わせが変化することがあります。
・矯正治療は、一度始めると元の状態に戻すことが難しくなります。
・機能性や審美性を重視するため、公的健康保険対象外の自費診療となり、保険診療よりも高額になります。
・正しい装着方法で1日20時間以上使用しないと、目標とする治療結果を得られないことがあるため、きちんとした自己管理が必要になります。
・ご自身で取り外せるため、紛失することがあります。
・症状によっては、マウスピース型矯正装置(インビザライン)で治療できないことがあります。
・お口の中の状態によっては、治療計画どおりの結果が得られないことがあります。
・装着したまま糖分の入った飲料をとると、虫歯を発症しやすくなります。
・治療によって、まれに歯根吸収や歯肉退縮が起こることがあります。
・食いしばりの癖が強い方の場合、奥歯が噛まなくなることがあります。
・治療途中で、ワイヤーを使う治療への変更が必要になることがあります。
・お口の状態によっては、マウスピース型矯正装置(インビザライン)に加え、補助矯正装置が必要になることがあります。
・治療完了後は後戻りを防ぐため、保定装置の装着が必要になります。
・薬機法(医薬品医療機器等法)においてまだ承認されていない医療機器です。日本では完成物薬機法対象外の装置であり、医薬品副作用被害救済措置の対象外となることがあります。
当院でご提供している「マウスピース型矯正装置(インビザライン)」は、薬機法(医薬品医療機器等法)においてまだ承認されていない医療機器となりますが、当院ではその有効性を認め、導入しています。
◦未承認医療機器に該当
薬機法上の承認を得ていません(独立行政法人 医薬品医療機器総合機構ウェブサイトにて2026年2月5日最終確認)。
◦入手経路等
アライン・テクノロジー社(日本法人:インビザライン・ジャパン合同会社)より入手しています。
◦国内の承認医療機器等の有無
国内では、マウスピース型矯正装置(インビザライン)と同様の性能を有した承認医療機器は存在しない可能性があります(独立行政法人 医薬品医療機器総合機構ウェブサイトにて2026年2月5日最終確認)。
◦諸外国における安全性等にかかわる情報
1998年にFDA(米国食品医薬品局)により医療機器として認証を受けていますが、情報が不足しているため、ここでは諸外国における安全性等にかかわる情報は明示できません。今後重大なリスク・副作用が報告される可能性があります。
◦医薬品副作用被害救済制度・生物由来製品感染等被害救済制度の救済対象外
国内で承認を受けて製造販売されている医薬品・医療機器(生物由来等製品である場合に限る)・再生医療等製品による副作用やウイルス等による感染被害で、万が一健康被害があったとき、「医薬品副作用被害救済制度」「生物由来製品感染等被害救済制度」などの公的な救済制度が適用されますが、未承認医薬品・医療機器・再生医療等製品の使用は救済の対象にはなりません。また、承認を受けて製造販売されている医薬品・医療機器・再生医療等製品であっても、原則として決められた効能・効果、用法・用量および使用上の注意に従って使用されていない場合は、救済の対象にはなりません。
日本では、完成物薬機法対象外の矯正装置であり、医薬品副作用被害救済制度の対象外となります。
※当該未承認医薬品・医療機器を用いた治療の広告に対する注意事項の情報の正確性について、本ウェブサイトの関係者は一切責任を負いません。
・機能性や審美性を重視するため、公的健康保険対象外の自費診療となり、保険診療よりも高額になります。
・装置に慣れるまで発音しづらいなどの症状が出ることがあります。
・矯正装置を装着している期間は、適切に歯磨きができていないと、虫歯や歯周病にかかりやすくなります。歯磨き指導をしますので、毎日きちんと歯を磨き、口腔内を清潔に保つようご協力をお願いします。
・歯磨き、エラスティック(顎間ゴム)の使用、装置の取り扱い、通院などを適切に行なっていただけない場合、治療の期間や結果が予定どおりにならないことがあります。
・成長期の患者さまの治療では、顎骨の成長を予測し、現段階において適切な治療を行ないますが、まれに予期できない顎の成長や変化によって治療法や治療期間が大きく変わることがあります。また、顎の変形が著しい場合には、矯正治療に外科的処置を併用することがあります。
・歯を移動させることにより、まれに歯根の先端がすり減って短くなる「歯根吸収」を起こすことがあります。しかし、適切な矯正力で歯を移動させることでセメント質(歯根表面を覆っている組織)が修復されるため、歯根吸収のリスクを軽減できます。
・歯の周囲の組織は、治療前の状態に戻ろうと「後戻り」する性質があるため、治療後も数ヵ月から1年に1回ほどの頻度で通院いただいて歯の状態を管理し、後戻りを防ぐ必要があります。
・矯正治療で整えた歯並びが元の状態に戻る「後戻り」を防ぐために、矯正治療終了後に装着する装置です。
・機能性や審美性を重視するため、公的健康保険対象外の自費診療となり、保険診療よりも高額になります。
・マウスピース型、プレート型、ワイヤー型などがあり、治療後の歯並びの状態に応じて歯科医師の指示に従い、正しい期間・方法で使用することが重要です。
・治療期間は、矯正治療の内容や歯の状態によって異なりますが、一般的に1~3年程度です。
・最初は食事や歯磨き以外の時間を装着し、その後、歯が安定してきたら夜間のみなど、徐々に短くしていきます。
・指示された期間は必ず装着を続けることが重要です。
・整った歯並びを維持するため、就寝時のみでも生涯にわたり装着を続けることが推奨されることもあります。
・装着を忘れると後戻りが生じ、リテーナーが合わなくなる可能性があります。
・食べ物が装置につきやすく、歯を磨きにくくなります。特にワイヤーやねじの部分に汚れが溜まりやすいので、仕上げ磨きをするなどご家族のサポートが必要になることがあります。
・固定式のものは、ご自身では取り外せません。
・固定式のものは、歯磨きがきちんとできていないと虫歯を発症するリスクが高まります。
・取り外し式のものは、毎日の装着を怠ると、良好な治療結果を得られないことがあります。
・治療内容によっては保険診療となることもありますが、基本的には自費(保険適用外)での診療となり、保険診療よりも高額になります。
・診査中はできるだけ顎を動かさないようにする必要があります。
・人体に影響しない程度(アナログレントゲン撮影装置の1/10以下)のごくわずかな被ばくがあります。
・ペースメーカーを使われている方、体内に取り外せない金属類がある方、妊娠中または妊娠の可能性のある方は検査を受けられないことがあります。