子
ど
も
の
矯
正
(小児矯正)
子どもの矯正(小児矯正)に
ついて

お子さまの歯並びや噛み合わせが気になったら、矯正歯科へご相談ください。
永久歯が生えはじめる6~7歳ごろから、予防的に矯正治療を始めることがあります。
成長・発育に問題がありそうな生え方や、後から生えてくる永久歯に大きな影響を与える場合は早期治療をおすすめしています。
早期に治療することで、永久歯が生えそろった後の矯正治療が必要なくなる可能性が高まります。ほかにも、矯正治療を実施しても、歯を抜かずにできることもあります。
こんな方は早期治療をおすすめします
- 受け口
- 極度の出っ歯
- 顎を左右どちらかにずらして噛む癖がある
- 噛んだときに前歯がまったくあたらない(開咬)
- 生えてきた歯の位置が極度にずれている
KAZ矯正歯科では「できるだけ歯を抜かない矯正治療」も行なっています。早期から治療することで、親知らず以外の歯を抜かずに治療できる可能性が高くなります。

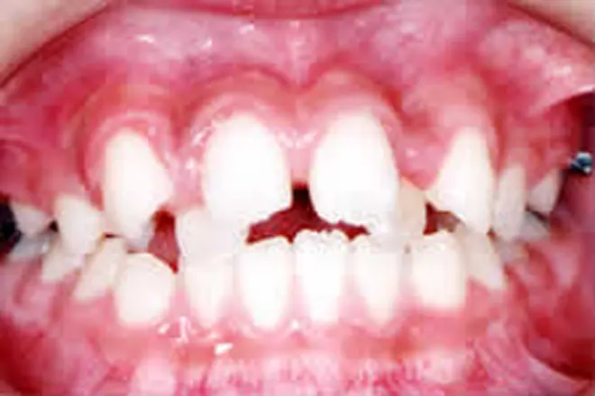
子どもの矯正 治療例1

前歯が出ている状態で反対に噛んでいる場合、自然に治ることはありません。
また、10歳くらいまでは上顎が盛んに成長する時期で、このままだと上顎の成長に支障が出る可能性があります。そこで、前歯の矯正治療を開始しました。

治療期間は6ヵ月で治療完了です。反対咬合が治りました。
この後は数ヵ月に一度、永久歯が生えそろうのを経過観察していきます。
| 患者さまの年齢・性別 | 8歳・女性 |
|---|---|
| 治療期間 | 6ヵ月 |
| 治療費(税込) | 330,000円 |
| 主訴 | 前歯が反対に噛んでいる |
| 診断名・主な症状 | 反対咬合 |
| 治療に用いた主な装置 | 表側矯正装置 |
| 治療内容 |
前歯(永久歯)が萌出した状態で反対に咬んでいる場合、自然に治ることはありません。また10歳くらいまでは上顎の骨が盛んに成長する時期であり、この状態では上顎の成長が充分に得られない可能性があるため、早めの治療が必要になります。 |
| 抜歯部位 | 非抜歯 |
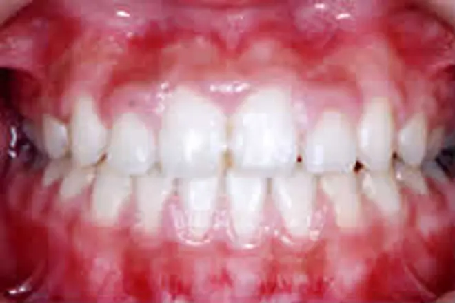
子どもの矯正 治療例2


まだ乳歯が多く残っていて、全体的な矯正治療はできません。そこで裏側に舌突出防止装置を付け、舌癖を改善して開咬を治療しました。

開咬が解消され、口をあけたときに前歯の隙間が出なくなりました。
| 患者さまの年齢・性別 | 9歳・女性 |
|---|---|
| 治療期間 | 1年 |
| 治療費(税込) | 165,000円 |
| 主訴 | 前歯で噛めない |
| 診断名・主な症状 | 開咬 |
| 治療に用いた主な装置 | 舌突出防止装置 |
| 治療内容 | 舌側に舌突出防止装置を付けることで、舌が前歯を押すのを防ぎます。 |
| 抜歯部位 | 非抜歯 |
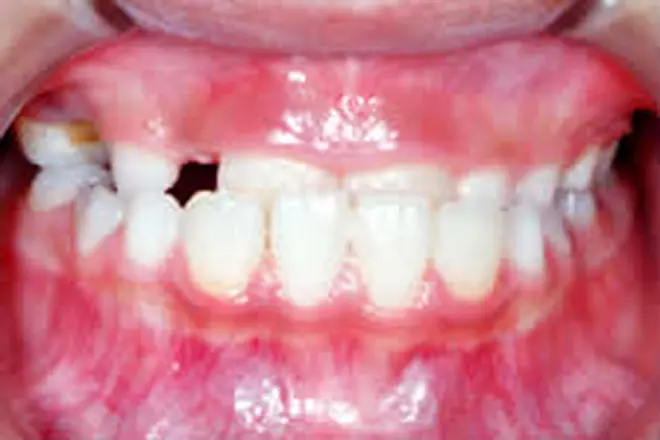
子どもの矯正 治療例3

左上の前歯が歯肉に埋まったケースです。

埋まっていた前歯を外科的に露出させました。

矯正装置を装着し、正しい位置へと移動させます。

前歯が正しい位置に移動してきました(治療中です)。
| 患者さまの年齢・性別 | 8歳・男性 |
|---|---|
| 治療期間 | 8ヵ月 |
| 治療費(税込) | 165,000円 |
| 主訴 | 左上の前歯が出てこない |
| 診断名・主な症状 | 上顎左側中切歯の埋伏 |
| 治療に用いた主な装置 | 表側矯正装置 |
| 治療内容 | 歯肉を切開し、埋もれている歯が見えるようにしました。装置を付けて所定の位置まで引っ張り出して歯並びを整えます。 |
| 抜歯部位 | 非抜歯 |
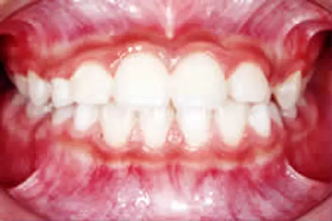
子どもの矯正 治療例4

奥歯が噛み合った状態でも、前歯に隙間ができています。
乳歯が多数あると全体矯正ができないので、歯の裏側に舌突出防止装置を付けました。これにより、舌が前に出る圧力を押さえました。


噛み合わせが整い、デコボコも解消されました。
| 患者さまの年齢・性別 | 13歳・女性 |
|---|---|
| 治療期間 | 2年 |
| 治療費(税込) | 946,000円 |
| 主訴 | 前歯が噛まない |
| 診断名・主な症状 | 開咬 |
| 治療に用いた主な装置 | 舌突出防止装置・表側矯正装置 |
| 治療内容 | 歯の裏側に舌突出防止装置を付け、治療と同時に舌癖を改善するトレーニングを実施しました。 |
| 抜歯部位 | 非抜歯 |
口腔筋機能療法
歯並びや噛み合わせは、遺伝だけでなく幼少期の生活習慣や癖なども大きく影響します。指しゃぶりや舌突出(舌を前に出す癖)の癖があると、開口や上顎前突といった不正咬合につながります。また、アレルギー性鼻炎・扁桃肥大などによる口呼吸の習慣があると、口周りの筋肉の緩みにつながるケースもあります。
口腔筋機能療法●一般的なリスク・副作用
○矯正治療
・矯正治療の一般的な治療費は60万~150万円、一般的な治療期間は2~3年、一般的な治療回数は24~36回となります。使用する装置、症状や治療の進行状況などにより変化しますので、参考程度にお考えいただき、詳細は歯科医師にご確認ください。
・機能性や審美性を重視するため、公的健康保険対象外の自費診療となり、保険診療よりも高額になります。
・最初は矯正装置による不快感、痛みなどがあります。数日から1~2週間で慣れることが多いです。
・歯の動き方には個人差があるため、治療期間が予想より長期化することがあります。
・装置や顎間ゴムの扱い方、定期的な通院など、矯正治療では患者さまのご協力がたいへん重要であり、それらが治療結果や治療期間に影響します。
・治療中は、装置がついているため歯が磨きにくくなります。虫歯や歯周病のリスクが高まるので、丁寧な歯磨きや定期メンテナンスの受診が大切です。また、歯が動くことで見えなかった虫歯が見えるようになることもあります。
・歯を動かすことにより歯根が吸収され、短くなることがあります。また、歯肉が痩せて下がることがあります。
・ごくまれに、歯が骨と癒着していて歯が動かないことがあります。
・ごくまれに、歯を動かすことで神経に障害を与え、神経が壊死することがあります。
・治療中に金属などのアレルギー症状が出ることがあります。
・治療中に、「顎関節で音が鳴る、顎が痛い、口をあけにくい」などの顎関節症状が出ることがあります。
・問題が生じた場合、当初の治療計画を変更することがあります。
・歯の形状の修正や、噛み合わせの微調整を行なうことがあります。
・矯正装置を誤飲する可能性があります。
・装置を外すときに、エナメル質に微小な亀裂が入る可能性や、補綴物(被せ物など)の一部が破損することがあります。
・装置を外したあと、保定装置を指示どおりに使用しないと後戻りが生じる可能性が高くなります。
・装置を外したあと、現在の噛み合わせに合わせて補綴物(被せ物など)の作製や虫歯治療などをやり直す可能性があります。
・顎の成長発育により、歯並びや噛み合わせが変化する可能性があります。
・治療後に、親知らずの影響で歯並びや噛み合わせが変化する可能性があります。
・加齢や歯周病などにより、歯並びや噛み合わせが変化することがあります。
・矯正治療は、一度始めると元の状態に戻すことが難しくなります。
○舌突出防止装置を用いた治療
・舌を前方に出して歯にぶつける舌突出癖を防止するための装置で、固定式や取り外し式の器具に設置し、舌が前に出るのをブロックします。
・機能性や審美性を重視するため、公的健康保険対象外の自費診療となり、保険診療よりも高額になります。
・装置を外すのは舌癖が直ってからですが、舌癖が直ったか否かの判断は困難であるため、装置を外したときに舌癖が直っていない場合、歯並びが再び悪化するおそれがあります。
・ある程度進んだ開咬や、開咬以外にも歯並びの乱れがある場合、この装置だけで症状を改善するのは困難です。その場合はほかの矯正装置を併用して歯並びを整えることもあります。
○MFT(口腔筋機能療法)
・お口周りの筋肉を正常に機能させるためのトレーニングです。
・機能的・審美的に仕上げるための治療なので、自費(保険適用外)での診療となり、保険診療よりも高額になります。
・お子さまが治療に協力的でない場合、良好な治療結果を得られないことがあります。
・MFT(口腔筋機能療法)だけで、お口周りの問題を全て解決できるわけではありません。
・MFT(口腔筋機能療法)を行なったからといって、将来矯正治療をせずに済むとは限りません。