矯正歯科治療を ご検討の方へ
輝くような笑顔をつくります
Four Features
つの特長
KAZ矯正歯科では、より正確な矯正治療をご提供するため、先進的な機器を取り入れ、診療を工夫しています。
これらを駆使して、患者さまの輝くような毎日をつくるお手伝いをします。
より確実性の高い診断 「歯科用CT」を導入
レントゲン撮影などでは見えない顎骨の量や厚さ、歯の状態が3D画像で見え、症状の早期発見が可能となります。また、症状や骨・神経の位置や状態をより正確に把握することで、より安全で患者さまの負担を軽減した治療が行なえます。
歯科用CTを導入
スピーディーで高精度光学印象口腔内スキャナー
iTeroスキャンするだけで精密な歯型がデータ化されます。よりスピーディーで、より高精度なマウスピース型矯正装置の作製が可能です。従来のようにシリコン素材で歯型を取る必要がないので、歯型を取るのが苦手な方も安心して受けられます。
光学印象口腔内スキャナー(iTero)
長く装置を付けるのはいやだ… 治療期間を「短く」するための方法
矯正治療の期間は長く、歯並びの状態によっては数年単位に及ぶケースがあります。当院では、歯科矯正用アンカースクリューの使用をはじめ、さまざまな工夫で治療期間の短縮を図っています。
治療期間を短くするための方法
顔立ちを整える 理想のシルエットと笑顔をデザインする
「Eライン」「ガミースマイル」矯正治療は歯並びや噛み合わせを整え、本来の機能性を回復するだけでなく、見た目にも美しいシルエットに配慮して仕上げます。骨格バランスを踏まえた治療で、輝くような笑顔をつくるお手伝いをします。
「Eライン」「ガミースマイル」
ごあいさつ
矯正歯科専門
矯正治療をもっと快適に
日本矯正歯科学会臨床医 高橋 和明
東京都千代田区神田神保町の地で開業し、2026年5月で28年になりました。
28年前、開業するにあたり、「矯正治療が患者さまにとって、
もっと快適なものにならないだろうか」という思いがありました。
「歯並びは気になるけれど、装置が見えるのがいやだ」
「すごく痛そう」
「費用がいくらかかるのかわからなくて不安」
「とにかく歯医者の雰囲気が苦手」
患者さまにとって、矯正治療にはさまざまなハードルがあります。
これらを少しでも、少しずつでも改善していきたいと考え、日々の治療を行なっています。
歯並びは、
子どもだけが治す
ものではありません。
歯は何歳になっても
動くのです。
歯は何歳になっても
動くのです
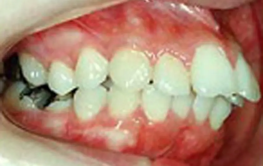
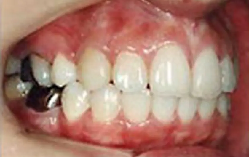
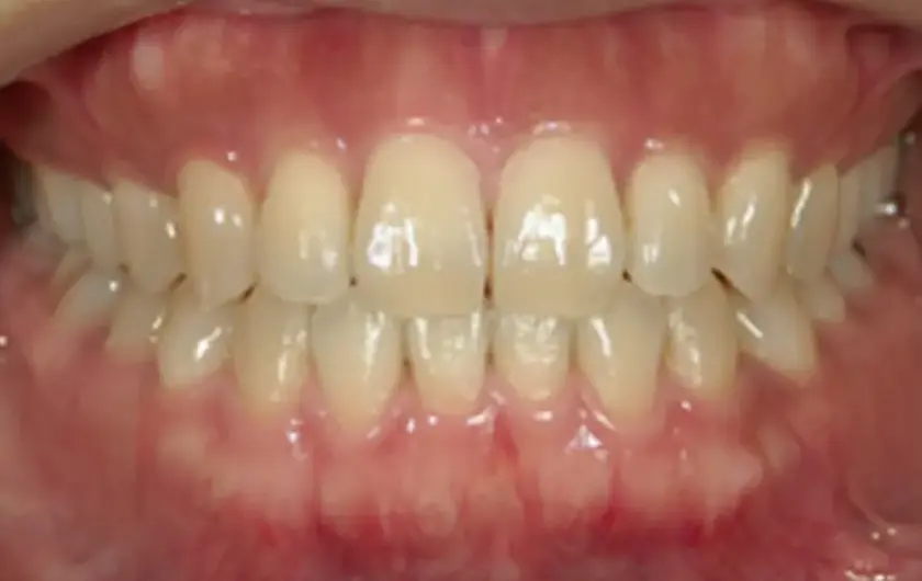
症例集
矯正治療について
矯正治療は何歳からでも始められます。
大人の矯正歯科
(成人矯正)
顎の成長が終わった成人の方には、装置を歯に付けて動かして歯列を整えます。従来の表側矯正に加えて、目立ちにくい舌側矯正やマウスピース型矯正装置もご用意しています。
大人の矯正歯科(成人矯正)
子どもの矯正歯科
(小児矯正)
将来に整った歯並びとなるように、永久歯が生えるスペースをつくります。歯並びを悪化させる舌癖の改善や、大人になってからの矯正治療まで一貫してサポートします。
子どもの矯正歯科(小児矯正)| 月 | 火 | 水 | 木 | 金 | 土 | 日・祝 | |
|---|---|---|---|---|---|---|---|
| 11:00~19:00 | ○ | ○ | ○ | − | ○ | △ | − |
| ▲土曜 10:00~18:00【休診】木・日・祝 | |||||||
KAZ矯正歯科の
つの理念
★★★★★
患者さまにとって、矯正歯科治療は
さまざまなハードルがあります。
これらを少しでも、少しずつでも、
改善していきたいと考えています。
「ヒアリング」を重視し、
治療を院長自らが行なう
患者さまが何を求め・期待しているのか、どのようなことに不安を抱いているのかを把握し、充分な説明と技術をもって治療にあたります。また、初診相談から治療計画の立案、毎回の治療などは、院長が責任をもって行ないます。
ヒアリングを重視し、治療を院長が行なう
費用の明確化
矯正歯科治療では、予定の期間から治療が延びるとその分費用がかかり、患者さまにとって大きな負担になります。そのため、あらかじめ治療終了までの総額をご提示し、患者さまに費用面でもご安心いただけるようにしました。
費用の明確化
装置の審美性の向上
表側の前歯には金属の装置を使わないなど、すべての治療で審美性に配慮した目立ちにくい装置を使っています。また、舌側矯正では「カスタムメイド型リンガルブラケット矯正装置(WIN)」を取り入れ、快適性と治療水準の向上を図っています。
装置の審美性の向上診療カレンダー
| 日 | 月 | 火 | 水 | 木 | 金 | 土 |
|---|---|---|---|---|---|---|
| 1 | 2 | 3 | 4 | |||
| 5 | 6 | 7 | 8 | 9 | 10 | 11 |
| 12 | 13 | 14 | 15 | 16 | 17 | 18 |
| 19 | 20 | 21 | 22 | 23 | 24 | 25 |
| 26 | 27 | 28 | 29 | 30 |
| 日 | 月 | 火 | 水 | 木 | 金 | 土 |
|---|---|---|---|---|---|---|
| 1 | 2 | |||||
| 3 | 4 | 5 | 6 | 7 | 8 | 9 |
| 10 | 11 | 12 | 13 | 14 | 15 | 16 |
| 17 | 18 | 19 | 20 | 21 | 22 | 23 |
| 24 | 25 | 26 | 27 | 28 | 29 | 30 |
| 31 |
新着情報
4月17日(金)は院長出張のため臨時休診とさせていただきます。
最新のiTero Luminaを導入しました。
2024年11月1日(金)より費用が改定されました。
スタッフ募集
KAZ矯正歯科では、矯正歯科を通じて患者さまの楽しく健康的な生活をサポートしてくださる方を募集しています。研修制度も整えていますので、ぜひご応募ください。
●一般的なリスク・副作用
○矯正治療
・矯正治療の一般的な治療費は60万~150万円、一般的な治療期間は2~3年、一般的な治療回数は24~36回となります。使用する装置、症状や治療の進行状況などにより変化しますので、参考程度にお考えいただき、詳細は歯科医師にご確認ください。
・機能性や審美性を重視するため、公的健康保険対象外の自費診療となり、保険診療よりも高額になります。
・最初は矯正装置による不快感、痛みなどがあります。数日から1~2週間で慣れることが多いです。
・歯の動き方には個人差があるため、治療期間が予想より長期化することがあります。
・装置や顎間ゴムの扱い方、定期的な通院など、矯正治療では患者さまのご協力がたいへん重要であり、それらが治療結果や治療期間に影響します。
・治療中は、装置がついているため歯が磨きにくくなります。虫歯や歯周病のリスクが高まるので、丁寧な歯磨きや定期メンテナンスの受診が大切です。また、歯が動くことで見えなかった虫歯が見えるようになることもあります。
・歯を動かすことにより歯根が吸収され、短くなることがあります。また、歯肉が痩せて下がることがあります。
・ごくまれに、歯が骨と癒着していて歯が動かないことがあります。
・ごくまれに、歯を動かすことで神経に障害を与え、神経が壊死することがあります。
・治療中に金属などのアレルギー症状が出ることがあります。
・治療中に、「顎関節で音が鳴る、顎が痛い、口をあけにくい」などの顎関節症状が出ることがあります。
・問題が生じた場合、当初の治療計画を変更することがあります。
・歯の形状の修正や、噛み合わせの微調整を行なうことがあります。
・矯正装置を誤飲する可能性があります。
・装置を外すときに、エナメル質に微小な亀裂が入る可能性や、補綴物(被せ物など)の一部が破損することがあります。
・装置を外したあと、保定装置を指示どおりに使用しないと後戻りが生じる可能性が高くなります。
・装置を外したあと、現在の噛み合わせに合わせて補綴物(被せ物など)の作製や虫歯治療などをやり直す可能性があります。
・顎の成長発育により、歯並びや噛み合わせが変化する可能性があります。
・治療後に、親知らずの影響で歯並びや噛み合わせが変化する可能性があります。
・加齢や歯周病などにより、歯並びや噛み合わせが変化することがあります。
・矯正治療は、一度始めると元の状態に戻すことが難しくなります。
○マウスピース型矯正装置(インビザライン)を用いた治療
・機能性や審美性を重視するため、公的健康保険対象外の自費診療となり、保険診療よりも高額になります。
・正しい装着方法で1日20時間以上使用しないと、目標とする治療結果を得られないことがあるため、きちんとした自己管理が必要になります。
・ご自身で取り外せるため、紛失することがあります。
・症状によっては、マウスピース型矯正装置(インビザライン)で治療できないことがあります。
・お口の中の状態によっては、治療計画どおりの結果が得られないことがあります。
・装着したまま糖分の入った飲料をとると、虫歯を発症しやすくなります。
・治療によって、まれに歯根吸収や歯肉退縮が起こることがあります。
・食いしばりの癖が強い方の場合、奥歯が噛まなくなることがあります。
・治療途中で、ワイヤーを使う治療への変更が必要になることがあります。
・お口の状態によっては、マウスピース型矯正装置(インビザライン)に加え、補助矯正装置が必要になることがあります。
・治療完了後は後戻りを防ぐため、保定装置の装着が必要になります。
・薬機法(医薬品医療機器等法)においてまだ承認されていない医療機器です。日本では完成物薬機法対象外の装置であり、医薬品副作用被害救済措置の対象外となることがあります。
○薬機法において承認されていない医療機器「インビザライン」について
当院でご提供している「マウスピース型矯正装置(インビザライン)」は、薬機法(医薬品医療機器等法)においてまだ承認されていない医療機器となりますが、当院ではその有効性を認め、導入しています。
◦未承認医療機器に該当
薬機法上の承認を得ていません(独立行政法人 医薬品医療機器総合機構ウェブサイトにて2026年2月5日最終確認)。
◦入手経路等
アライン・テクノロジー社(日本法人:インビザライン・ジャパン合同会社)より入手しています。
◦国内の承認医療機器等の有無
国内では、マウスピース型矯正装置(インビザライン)と同様の性能を有した承認医療機器は存在しない可能性があります(独立行政法人 医薬品医療機器総合機構ウェブサイトにて2026年2月5日最終確認)。
◦諸外国における安全性等にかかわる情報
1998年にFDA(米国食品医薬品局)により医療機器として認証を受けていますが、情報が不足しているため、ここでは諸外国における安全性等にかかわる情報は明示できません。今後重大なリスク・副作用が報告される可能性があります。
◦医薬品副作用被害救済制度・生物由来製品感染等被害救済制度の救済対象外
国内で承認を受けて製造販売されている医薬品・医療機器(生物由来等製品である場合に限る)・再生医療等製品による副作用やウイルス等による感染被害で、万が一健康被害があったとき、「医薬品副作用被害救済制度」「生物由来製品感染等被害救済制度」などの公的な救済制度が適用されますが、未承認医薬品・医療機器・再生医療等製品の使用は救済の対象にはなりません。また、承認を受けて製造販売されている医薬品・医療機器・再生医療等製品であっても、原則として決められた効能・効果、用法・用量および使用上の注意に従って使用されていない場合は、救済の対象にはなりません。
日本では、完成物薬機法対象外の矯正装置であり、医薬品副作用被害救済制度の対象外となります。
※当該未承認医薬品・医療機器を用いた治療の広告に対する注意事項の情報の正確性について、本ウェブサイトの関係者は一切責任を負いません。
○舌側矯正装置を用いた治療
・機能性や審美性を重視するため、公的健康保険対象外の自費診療となり、保険診療よりも高額になります。
・装置に慣れるまで発音しづらいなどの症状が出ることがあります。
・矯正装置を装着している期間は、適切に歯磨きができていないと、虫歯や歯周病にかかりやすくなります。歯磨き指導をしますので、毎日きちんと歯を磨き、口腔内を清潔に保つようご協力をお願いします。
・歯磨き、エラスティック(顎間ゴム)の使用、装置の取り扱い、通院などを適切に行なっていただけない場合、治療の期間や結果が予定どおりにならないことがあります。
・成長期の患者さまの治療では、顎骨の成長を予測し、現段階において適切な治療を行ないますが、まれに予期できない顎の成長や変化によって治療法や治療期間が大きく変わることがあります。また、顎の変形が著しい場合には、矯正治療に外科的処置を併用することがあります。
・歯を移動させることにより、まれに歯根の先端がすり減って短くなる「歯根吸収」を起こすことがあります。しかし、適切な矯正力で歯を移動させることでセメント質(歯根表面を覆っている組織)が修復されるため、歯根吸収のリスクを軽減できます。
・歯の周囲の組織は、治療前の状態に戻ろうと「後戻り」する性質があるため、治療後も数ヵ月から1年に1回ほどの頻度で通院いただいて歯の状態を管理し、後戻りを防ぐ必要があります。
○薬機法において承認されていない医療機器「WIN」について
当院でご提供している「カスタムメイド型リンガルブラケット矯正装置(WIN)」は、薬機法(医薬品医療機器等法)においてまだ承認されていない医療機器となりますが、当院ではその有効性を認め、導入しています。
◦未承認医療機器に該当
薬機法上の承認を得ていません(独立行政法人 医薬品医療機器総合機構ウェブサイトにて2026年2月5日最終確認)。
◦入手経路等
DW Lingual Systems Japan株式会社より入手しています。
◦国内の承認医療機器等の有無
国内で、カスタムメイド型リンガルブラケット矯正装置(WIN)と同様の性能を有した承認医療機器は、存在しない可能性があります(独立行政法人 医薬品医療機器総合機構ウェブサイトにて2026年2月5日最終確認)。
◦諸外国における安全性等にかかわる情報
情報が不足しているため、ここではカスタムメイド型リンガルブラケット矯正装置(WIN)の諸外国における安全性等にかかわる情報は明示できません。今後重大なリスク・副作用が報告される可能性があります。
◦医薬品副作用被害救済制度・生物由来製品感染等被害救済制度の救済対象外
国内で承認を受けて製造販売されている医薬品・医療機器(生物由来等製品である場合に限る)・再生医療等製品による副作用やウイルス等による感染被害で、万が一健康被害があったとき、「医薬品副作用被害救済制度」「生物由来製品感染等被害救済制度」などの公的な救済制度が適用されますが、未承認医薬品・医療機器・再生医療等製品の使用は救済の対象にはなりません。また、承認を受けて製造販売されている医薬品・医療機器・再生医療等製品であっても、原則として決められた効能・効果、用法・用量および使用上の注意に従って使用されていない場合は、救済の対象にはなりません。
日本では、完成物薬機法対象外の矯正装置であり、医薬品副作用被害救済制度の対象外となります。
※当該未承認医薬品・医療機器を用いた治療の広告に対する注意事項の情報の正確性について、本ウェブサイトの関係者は一切責任を負いません。
○歯科矯正用アンカースクリューを用いた矯正治療
・公的健康保険対象となる使用方法と、公的健康保険対象外の自費診療となる使用方法があり、自費診療となる場合は保険診療よりも高額になります。
・骨と化学的な結合をしないため、患者さまの骨の状態や口腔衛生状態によっては脱落することがあります。
・脱落した場合は再埋入を行なうことがあります。脱落部分の骨の穴が回復するまで数ヵ月の時間を要するため、別の部分に埋め込むことがあります。
・歯科矯正用アンカースクリューは骨に埋まっていますが、その頭部は歯肉の外にあるため、ケアを怠ると骨に感染することがあります。
・歯科矯正用アンカースクリューは歯根の間に埋入されることが多いため、埋入時に歯根を傷つけることがあります。
○部分矯正
・機能性や審美性を重視するため、公的健康保険対象外の自費診療となり、保険診療よりも高額になります。
・前歯6本だけを治す方法なので、噛み合わせは改善できません。噛み合わせの改善を希望される方は、全顎の矯正治療が必要となります。
・症状によっては、でこぼこの前歯がきれいに並ぶスペースを確保するため、歯と歯の間を削る必要があります。しかし、エナメル質(歯の表面)を0.3~0.8mmほど削る程度なので、歯への支障はほとんどありません。
・前歯だけの治療となり動きが限られているので、症状によっては希望どおりに仕上がらないことがあります。
○クリーニング・PMTC
・内容によっては保険適用となることもありますが、歯の病気の治療ではないため自費(保険適用外)となることもあり、その場合は保険診療よりも高額になります。詳細は歯科医師にご確認ください。
・歯科医院でのクリーニング・PMTCだけでは、虫歯・歯周病の予防はできません。日ごろから歯磨きなどのケアに努めることで、予防効果を上げられます。
・歯肉の腫れや歯肉炎のある方は、器具が当たることにより痛みや出血をともなうことがあります。
・歯と歯肉の境目への歯石の付着が多い方は、歯石除去後、歯肉から出血が見られることがあります。多くの場合、クリーニング後しばらくすると出血は治まり、1~2日で歯肉は治癒します。
・着色汚れや歯垢・歯石はクリーニング・PMTCで除去できますが、効果は永続的ではありません。いずれも再付着するものなので、定期的に受診して処置を受けることが大切です。
○歯科用CTを用いた検査
・コンピューターを駆使してデータ処理と画像の再構成を行ない、断層写真を得る機器となります。
・治療内容によっては保険診療となることもありますが、基本的には自費(保険適用外)での診療となり、保険診療よりも高額になります。詳細は歯科医師にご確認ください。
・検査中はできるだけ顎を動かさないようにする必要があります。
・人体に影響しない程度(デジタルレントゲン撮影装置の1/10以下)の、ごくわずかな被ばくがあります。
・ペースメーカーを使われている方、体内に取り外せない金属類がある方、妊娠中または妊娠の可能性のある方は検査を受けられないことがあります。
○3D口腔内スキャナー(iTero)を用いた治療
・薬機法(医薬品医療機器等法)において承認された医療機器です。光学的に口腔内の印象を採得し、ディスプレイに表示して診療や患者さまへのご説明に使用したり、採得した3Dデータに基づき、マウスピース型矯正装置(インビザライン)や補綴物などの設計・製造に使用します。
・3D口腔内スキャナー(iTero)を使用して行なうマウスピース型矯正装置(インビザライン)を用いた治療は、機能性や審美性を重視するため、公的健康保険対象外の自費診療となり、保険診療よりも高額になります。
・印象剤を使用した従来の印象採得に比べ、印象採得時の不快感は大幅に軽減されますが、お口の中にスキャナーが入るため、ごくまれに多少の不快感を覚えることがあります。

















