初診のカウンセリングを行なっています。
お気軽にご相談ください。
叢生(八重歯、乱ぐい歯)の矯正歯科
矯正歯科の治療例をご紹介致します。いまさらと思ってらっしゃる方も遅くはありません。歯は何才になっても動くのです。こちらでは、歯並びがデコボコの症例をご紹介いたします。
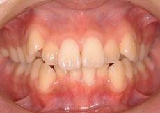
叢生の矯正 1 - セルフライゲーションブラケット装置(デイモンシステム)(非抜歯)
20代・女性
気になるところ
前歯のデコボコが気になる → 叢生症例
治療について
●注意点・リスク・副作用などを含む治療内容
非抜歯で全体のデコボコとかみ合わせを治療したケースです。
こういった歯の重なりの大きいケースでは、デコボコを解消した後にブラックトライアングルを生じる事もあります。
その他
●治療期間…1年2ヵ月
●治療費用…840,000円 + 消費税
●治療に用いた主な装置…セルフライゲーションブラケット装置(デイモンシステム)※完成物薬機法対象外の矯正装置であり、医薬品副作用被害救済措置の対象外になることがあります。
●抜歯部位…非抜歯
●通院回数・メインテナンス頻度…10回






叢生の矯正 2 - セルフライゲーションブラケット装置(デイモンシステム)(非抜歯)
10代・女性
気になるところ
前歯が曲がっているのが気になる → 叢生症例
治療について
●注意点・リスク・副作用などを含む治療内容
非抜歯で治療を行ったケースです。
この患者様のように前歯が咬み合っていない場合、歯としての使用頻度が少ないため、歯の先端が自然に磨耗する事が少ないので、歯が萌えてきた時と同じような状態のまま、写真のようにギザギザが残っている事があります。
機能的には問題ないのですが、見た目が気になる場合がありますので、そういった場合には歯の先端を少し削って見た目の調節をする事があります。
当院では非常にご要望が多い処置になります。
このようなご要望の場合も追加の費用は発生致しません。
その他
●治療期間…1年
●治療費用…840,000円 + 消費税
●治療に用いた主な装置…セルフライゲーションブラケット装置(デイモンシステム)※完成物薬機法対象外の矯正装置であり、医薬品副作用被害救済措置の対象外になることがあります。
●抜歯部位…非抜歯
●通院回数・メインテナンス頻度…8回






叢生の矯正 3 - セルフライゲーションブラケット装置(デイモンシステム)(非抜歯)
20代・女性
気になるところ
前歯の横の歯が裏側に入っているのが気になる → 上顎左側側切歯の舌側転位を伴う叢生症例
治療について
●注意点・リスク・副作用などを含む治療内容
他院で治療を行った後、動いてしまったので治療したいとの事でした。
すでに4本抜歯されていたのでこれ以上は抜く事はできませんから、この状態で治療を行いました。
その他
●治療期間…1年
●治療費用…840,000円 + 消費税
●治療に用いた主な装置…セルフライゲーションブラケット装置(デイモンシステム)※完成物薬機法対象外の矯正装置であり、医薬品副作用被害救済措置の対象外になることがあります。
●抜歯部位…非抜歯
●通院回数・メインテナンス頻度…10回






叢生の矯正 4 - 片方舌側矯正装置(上下ディスキング)
20代・女性
気になるところ
前歯2本が出ているのが気になる → 叢生症例
治療について
●注意点・リスク・副作用などを含む治療内容
非抜歯で治療を行いましたが、並べるためのスペースが少し不足していた為、上下の歯を少しディスキングして治療を行いました。
その他
●治療期間…11ヵ月
●治療費用…1,095,000円 + 消費税
●治療に用いた主な装置…ハーフリンガル(舌側矯正装置)
●抜歯部位…非抜歯
●通院回数・メインテナンス頻度…8回






叢生の矯正 5 - 片方舌側矯正装置(上下ディスキング)
30代・女性
気になるところ
八重歯が気になる → 叢生症例
治療について
●注意点・リスク・副作用などを含む治療内容
上下前歯に強い叢生(デコボコ)がありますが、歯を抜きたくないという強いご要望がありましたので、ディスキングをして治療を行いました。
その他
●治療期間…1年3ヵ月
●治療費用…1,095,000円 + 消費税
●治療に用いた主な装置…ハーフリンガル(舌側矯正装置)
●抜歯部位…非抜歯
●通院回数・メインテナンス頻度…12回






叢生の矯正 6 - 上下舌側矯正装置(非抜歯)
20代・女性
気になるところ
前歯のデコボコが気になる → 叢生症例
治療について
●注意点・リスク・副作用などを含む治療内容
特に前歯の横の歯が完全に裏側になっている事を気にされていました。
上下の歯列の若干の横方向への拡大とディスキングで歯を並べるスペースをかせぎ、非抜歯で治療を行っています。
その他
●治療期間…1年4ヵ月
●治療費用…1,245,000円 + 消費税
●治療に用いた主な装置…リンガル(舌側)矯正装置
●抜歯部位…非抜歯
●通院回数・メインテナンス頻度…12回





