初診のカウンセリングを行なっています。
お気軽にご相談ください。
反対咬合(受け口)の矯正歯科
矯正歯科の治療例をご紹介致します。いまさらと思ってらっしゃる方も遅くはありません。歯は何才になっても動くのです。こちらでは、下顎の歯が前に出ている症例をご紹介いたします。
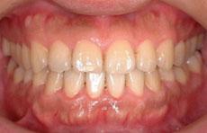
反対咬合(受け口)の矯正 1 - 上下舌側矯正装置 (下顎1本抜歯)
20代・男性
気になるところ
咬みにくい → 反対咬合
治療について
●注意点・リスク・副作用などを含む治療内容
左側の奥歯の咬み合せが著しくずれていたので左側のみ1本抜歯をして治療を行いました。
元々右側の咬み合せはほとんどずれがなかったため、左側のみの抜歯という判断を致しましたが、非常に珍しいケースです。
その他
●治療期間…1年9ヵ月
●治療費用…1,335,000円 + 消費税
●治療に用いた主な装置…リンガル(舌側)矯正装置
●抜歯部位…下顎左側4番
●通院回数・メインテナンス頻度…19回
反対咬合(受け口)の矯正2 - 上下舌側矯正装置 (非抜歯)
20代・女性
気になるところ
前歯がデコボコしているのが気になる → 上顎両側側切歯の舌側転位を有する叢生症例
治療について
●注意点・リスク・副作用などを含む治療内容
若干の歯列の拡大を行い、前歯が前方に出過ぎないよう配慮して治療を行っています。
元々後ろに引っ込んでいた歯が戻らないようにしっかり保定装置を使用する必要があります。
その他
●治療期間…1年3ヵ月
●治療費用…1,245,000円 + 消費税
●治療に用いた主な装置…リンガル(舌側)矯正装置
●抜歯部位…非抜歯
●通院回数・メインテナンス頻度…12回






