初診のカウンセリングを行なっています。
お気軽にご相談ください。
開咬の矯正歯科
矯正歯科の治療例をご紹介致します。いまさらと思ってらっしゃる方も遅くはありません。歯は何才になっても動くのです。こちらでは、前歯が噛み合っていない症例をご紹介いたします。
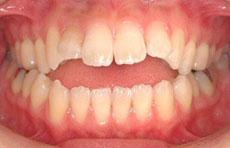
開咬の矯正 1 - セルフライゲーションブラケット装置(デイモンシステム)(上下ディスキング)
30代・女性
気になるところ
前歯がかんでいないのが気になる → 開咬
治療について
●注意点・リスク・副作用などを含む治療内容
非抜歯でディスキングを行いました。
またこの症例では上の一番奥の歯が外側に張り出して、全く下の歯と咬んでいない状態です。
この歯は現状では全く歯として機能していませんし、咬んでいない歯は段々歯茎から出てきてしまします。 そうなると歯が弱くなり抜けてしまうという事にもなりかねません。
矯正治療ではこういった歯もコントロールして咬むようにして歯の寿命を延ばすこともできます。
※開咬について
開咬は咬み合せの状態としてはかなり悪い部類入ると思います。
開咬は奥歯でしか歯が当たらないため、奥歯の負担が大きく将来的に悪くなってしまう事が多く、また前歯は使用しない事で悪くなってしまう事が多いようです。
悪くなって歯を抜いたり、被せ物をする場合もその後の処置が非常にしにくく、一旦悪くなってしまうと歯の事でのトラブルが頻発しやすいのも開咬の方の特徴です。
ですから可能であればそうなる前にできるだけ早くに矯正治療で治してほしい状態の一つです。
その他
●治療期間…1年8ヵ月
●治療費用…900,000円 + 消費税
●治療に用いた主な装置…セルフライゲーションブラケット装置(デイモンシステム)※完成物薬機法対象外の矯正装置であり、医薬品副作用被害救済措置の対象外になることがあります。
●抜歯部位…非抜歯
●通院回数・メインテナンス頻度…14回






開咬の矯正 2 - セルフライゲーションブラケット装置(デイモンシステム)(上下左右4本抜歯)
20代・女性
気になるところ
前歯が出ているのと下の歯の隙間が気になる → 上下顎前突と下顎前歯部の空隙を伴う開咬症例
治療について
●注意点・リスク・副作用などを含む治療内容
前歯の前方突出と開咬の改善の為に上下左右の第一小臼歯(計4本)を
抜歯して治療を行っています。
開咬の方のほとんどは、舌癖という本来の舌の動きではない癖を持っています。
その癖が矯正治療後も残っていると、それにより再度開咬の状態を引き起こしてしまうので、必ず舌癖を直すトレーニングも必要となります。
その他
●治療期間…2年
●治療費用…960,000円 + 消費税
●治療に用いた主な装置…セルフライゲーションブラケット装置(デイモンシステム)※完成物薬機法対象外の矯正装置であり、医薬品副作用被害救済措置の対象外になることがあります。
●抜歯部位…上下顎両側4番
●通院回数・メインテナンス頻度…18回






開咬の矯正 3 - セルフライゲーションブラケット装置(デイモンシステム)(上下左側のみディスキング)
20代・男性
気になるところ
前歯の横の歯が引っ込んでいるのが気になる → 開咬
治療について
●注意点・リスク・副作用などを含む治療内容
ディスキング(歯と歯の間を少し削る事)を行って、そのスペースで歯を並べ前歯を奥へ引っ込めている症例です。
その他
●治療期間…1年6ヵ月
●治療費用…900,000円 + 消費税
●治療に用いた主な装置…セルフライゲーションブラケット装置(デイモンシステム)※完成物薬機法対象外の矯正装置であり、医薬品副作用被害救済措置の対象外になることがあります。
●抜歯部位…非抜歯
●通院回数・メインテナンス頻度…13回






開咬の矯正 4 - セルフライゲーションブラケット装置(デイモンシステム)(上顎2本抜歯)
20代・女性
気になるところ
前歯で物がかめない → 開咬
治療について
●注意点・リスク・副作用などを含む治療内容
下に比べ上全体が前方にずれているため、上の歯の左右第一小臼歯(計2本)を抜歯し、下顎は歯を抜かないで治療を行いました。
※舌癖について
舌癖とは、その名の通り舌の癖です。
舌の動きや普段の舌の位置というものが歯並びや咬み合せに与える影響というのは大きく、悪い癖は歯並びを簡単に変えてしまいます。 お口の中の事なのでなかなか舌の動きや位置が悪いという事を自覚することは難しいのですが、開咬の方はほぼ100%悪い舌癖を持っています。
どんな癖かというと、開咬の場合咬んだ時に前歯が当たらないため、飲み物を飲んだり、物を飲み込む時に舌を前の開いている所に突っ込んで飲むようにしています。
こうしなければ飲むことができないので仕方ないのですが、この癖が残っていると、矯正治療後に歯を押してまた開いてきてしまう事があります。
当院ではこういった舌癖のある患者様には、ある程度歯並びが整ってくる治療の後半に舌癖を治すトレーニングを行っております。
まず普段どういう位置に舌があるべきなのか、どういった動きで物を飲む事が正しいかを理解していただき、それを実現するためのエクササイズの方法をお教えしています。
練習チャートを使用し、1日5分~10分のエクササイズをしていただく事で舌癖の改善がされていきます。 このエクササイズも矯正治療後の歯の安定には非常に重要ですから、必要な場合には是非ご協力ください。
その他
●治療期間…2年
●治療費用…960,000円 + 消費税
●治療に用いた主な装置…セルフライゲーションブラケット装置(デイモンシステム)※完成物薬機法対象外の矯正装置であり、医薬品副作用被害救済措置の対象外になることがあります。
●抜歯部位…上顎両側4番
●通院回数・メインテナンス頻度…18回






開咬の矯正 5 - セルフライゲーションブラケット装置(デイモンシステム)(上顎2本抜歯)
30代・女性
気になるところ
歯のデコボコが気になる → 叢生を伴う開咬症例
治療について
●注意点・リスク・副作用などを含む治療内容
下の歯列に対し、上顎歯列が前方に大きくズレている為、上の左右の第一小臼歯(計2本)を抜歯して治療を行っています。
この患者様の場合も必ず舌癖のトレーニングが必要になります。
その他
●治療期間…1年10ヵ月
●治療費用…900,000円 + 消費税
●治療に用いた主な装置…セルフライゲーションブラケット装置(デイモンシステム)※完成物薬機法対象外の矯正装置であり、医薬品副作用被害救済措置の対象外になることがあります。
●抜歯部位…上顎両側4番
●通院回数・メインテナンス頻度…15回






開咬の矯正 6 - セルフライゲーションブラケット装置(デイモンシステム)(非抜歯)
30代・男性
気になるところ
上の前歯のデコボコが気になる → 叢生を伴う開咬症例
治療について
●注意点・リスク・副作用などを含む治療内容
歯列の軽度の拡大とディスキングを行い、そのスペースで歯のデコボコと
開咬の改善を行っています。
舌癖がありますので、舌癖の改善トレーニングが必要になります。
その他
●治療期間…1年7ヵ月
●治療費用…900,000円 + 消費税
●治療に用いた主な装置…セルフライゲーションブラケット装置(デイモンシステム)※完成物薬機法対象外の矯正装置であり、医薬品副作用被害救済措置の対象外になることがあります。
●抜歯部位…非抜歯
●通院回数・メインテナンス頻度…14回





