初診のカウンセリングを行なっています。
お気軽にご相談ください。
過蓋咬合の矯正歯科
矯正歯科の治療例をご紹介致します。いまさらと思ってらっしゃる方も遅くはありません。歯は何才になっても動くのです。こちらでは、下顎の前歯が見えない症例をご紹介いたします。
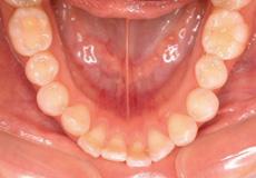
過蓋咬合の矯正 1 - セルフライゲーションブラケット装置(デイモンシステム)(2本抜歯)
20代・女性
気になるところ
咬んだ時に下の前歯が見えない → 過蓋咬合及び上顎前突
治療について
●注意点・リスク・副作用などを含む治療内容
下顎に対して上顎が前方にずれ、上顎前突の状態である事と上の前歯が下の前歯におおいかぶさっている過蓋咬合の状態でした。
これらの改善の為、上顎の左右の第一小臼歯(計2本)を抜歯して治療を行いました。
その他
●治療期間…1年8ヵ月
●治療費用…900,000円 + 消費税
●治療に用いた主な装置…セルフライゲーションブラケット装置(デイモンシステム)※完成物薬機法対象外の矯正装置であり、医薬品副作用被害救済措置の対象外になることがあります。
●抜歯部位…上顎両側4番
●通院回数・メインテナンス頻度…16回
過蓋咬合の矯正 2 - セルフライゲーションブラケット装置(デイモンシステム)(2本抜歯)
30代・男性
気になるところ
前歯のデコボコが気になる → 叢生を伴う過蓋咬合
治療について
●注意点・リスク・副作用などを含む治療内容
下顎に比べ上顎が前方にずれ、上顎前突の状態であり上の前歯が下の前歯
におおいかぶさっている過蓋咬合の状態でした。
また歯のデコボコもある事から上顎の左右第一小臼歯(計2本)を抜歯して治療を行いました。
下顎のデコボコは非抜歯で改善可能と考え、抜歯していません。
その他
●治療期間…2年
●治療費用…1,425,000円 + 消費税
●治療に用いた主な装置…リンガル(舌側)矯正装置
●抜歯部位…上顎両側4番
●通院回数・メインテナンス頻度…20回
過蓋咬合の矯正 3 - 上下舌側矯正装置 (上下ディスキング)
30代・男性
気になるところ
前歯がでているのとガミースマイルが気になる → 正中離開を伴う過蓋咬合
治療について
●注意点・リスク・副作用などを含む治療内容
前歯をより奥へ引っ込めたいという御要望の為、上下ともディスキングを行いそのスペースで奥へ引っ込めています。
またガミースマイル改善の為、上顎口蓋に歯科矯正用アンカースクリューを埋入して、上顎前歯を上に持ち上げるような治療を行っています。
その他
●治療期間…2年2ヵ月
●治療費用…1,425,000円 + 消費税
●治療に用いた主な装置…リンガル(舌側)矯正装置
●抜歯部位…非抜歯
●通院回数・メインテナンス頻度…21回






