初診のカウンセリングは無料です。
お気軽にご相談ください。
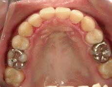
N.N様 裏側矯正
20代 女性 学生

症例: 施術前・施術後
| 気になっている所 | 上下の歯が前方に出ている所。 |
|---|---|
| 装置 | 裏側の装置 |
| 治療方法 | 装置が見える事に抵抗があるとのことで、上下ともに裏側の装置で治療を行いました。 また、上下の前歯の突出感があったため、抜歯をしての治療となりました。 通常は、第一小臼歯を抜歯する事が多いのですが、右下の第二小臼歯が、金属がかぶさっている事、また、上顎の左右の第二小臼歯も虫歯になっている事から上下左右の第二小臼歯を抜歯して治療を行いました。 |
| 治療 | 上下前歯がしっかり引っ込み、口元も綺麗に整いました。咬み合わせも良好な状態です。 この患者様のように虫歯や金属がかぶさっていたり、既にダメージが加わっている歯がある場合はそういった歯を抜いて治療を行う場合もあります。 その場合、通常抜く歯を抜いて治療する場合と、そういったダメージのある歯を抜いた場合とのメリット・デメリットをお話致しますので、その上でどちらの歯を抜くか選んで頂く事が可能です。 |






