初診のカウンセリングは無料です。
お気軽にご相談ください。
Y.K様 デイモンシステム
30代 女性 会社員


症例: 施術前・施術後






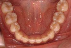
気になっている所 | 全体の咬み合わせ。 |
---|---|
装置 | デイモンシステムクリア |
治療方法 | 下顎の左右の第一小臼歯と左下の第一大臼歯を抜歯しました。 |
治療前の状態 | 治療の経緯はわかりませんが、小学校の時に上顎の左右の犬歯を抜歯しています。 抜歯して部分的に矯正治療を行ったとの事でした。 それもあり、上下のバランスが悪く全体的にあまり咬んでいない状態でした。 また、左下の第一大臼歯の状態が悪く、抜歯しなければならないと一般歯科の先生よりアナウンスがあったとの事でした。 |
治療 | 上顎はすでに左右の犬歯が抜歯されているので、これ以上の抜歯はおこなえません。 下顎は上顎に対し全体的に前方にでていることもあり、左右の第一小臼歯を抜歯することになりました。また、左下の第一大臼歯の状態が悪かったため、その歯を抜歯し、その奥の第二大臼歯を第一大臼歯の代わりにするように前方に移動させ、その奥にある第三大臼歯(親知らず)を第二大臼歯の代わりになるように移動させるプランになりました。 その際、第一大臼歯を抜いた大きなスペース分を第二大臼歯を前方へ移動させる事は非常に困難で、前方の歯を固定し、引っ張れば善歩の歯が影響を受けて奥に引っ込み過ぎてしまう事が想像されます。 そこで、歯を抜いた第一大臼歯付近に矯正用のインプラントを軸として埋入し、動かない固定源を作り、そこから第二大臼歯と第三大臼歯を後方へ移動させました。 |
結果 | 全体のデコボコが治り、下の前歯の前突感も解消され、咬み合わせも良好な状態となりました。 また、左下の部分も奥歯2本をうまく前方移動できています。 一般的には奥歯二本を前方に移動する事は極めて困難な為、抜歯した第一大臼歯の部分には、インプラントやブリッジといった手法で人工物が入る事が多いですが、矯正用のインプラントを使用する事で、それを回避する事ができた症例です。 患者様にとっては非常にメリットがあったのではないかと思います。 |