初診のカウンセリングは無料です。
お気軽にご相談ください。
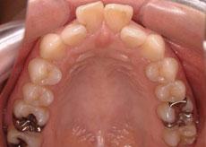
R.Y様 裏側矯正
30代 女性 会社員


症例: 施術前・施術後
| 気になっている所 | 前歯が出ている所。 |
|---|---|
| 装置 | 上顎 裏側矯正 下顎 デイモンシステムクリア |
| 治療方法 | 上下左右の小臼歯 合計4本抜歯。 |
| 治療前の状態 | 全体的にでこぼこと、特に上顎の前歯の前突感が強い。 |
| 治療 | 親知らずの抜歯と、歯と歯の間を少し削る事で治療上は問題のない範囲でしたが、前歯をできるだけ引っ込めたいとの希望があったため、抜歯での治療となりました。 その際、犬歯の一つ奥の第一小臼歯を抜歯する事が多いのですが、右下はそのもう一つ奥の第二小臼歯が虫歯の治療で金属が入っていたため、あえてその歯を抜歯して治療しました。 |
| 結果 | 全体のデコボコの解消と、前歯を十分に奥に引っ込める事ができました。 |






