メリット
・治療期間を短縮できる可能性が高まる。
・さまざまな症例で非抜歯での矯正治療が期待できる。
・外科手術が必要なケースでも、手術せず治療できることがある。
・顎間ゴムなどの補助装置の使用頻度を減らし、患者さまのご協力が最小限ですむ。
歯科矯正用アンカースクリューを用いた矯正治療│KAZ矯正歯科 東京都千代田区神保町の矯正歯科

KAZ矯正歯科では、開業当初より歯科矯正用アンカースクリューを用いた矯正治療を行なっています。
歯科矯正用アンカースクリューを用いた矯正治療は、歯科矯正用に開発された小さいアンカースクリューを顎骨に埋め込み、これを固定源として歯を動かします。
固定源を得ることで、今までの矯正治療では動かすのが難しかった方向にも歯を動かせるようになり、治療期間の短縮や、顎骨を切らないで治療できる選択肢が広がりました。また、非抜歯矯正の可能性が高くなったり、顎間ゴムやヘッドギアといった補助装置の使用頻度の低減によって、患者さまのご負担を軽減できるメリットもあります。
歯科矯正用アンカースクリューは、生体親和性の高いチタンでできています。通常のインプラントもチタン製であり、骨折したときなどに固定するプレートやねじにもチタンが使われています。医科・歯科ともに使用頻度の高い素材です。生体親和性の高さから、アレルギーを起こすことはほとんどありません。
一般的に歯科の「インプラント」と言うと、歯を失った際に顎骨に埋め込むチタン製の人工歯根を指します。また、その上に人工歯をつけて機能性や審美性を取り戻す治療自体を言うこともあります。
「このインプラントを使って歯を動かせないか」と考え、さまざまな実験が行なわれたことをきっかけに、歯科矯正用アンカースクリューが開発されました。現在ではさまざまなタイプのものが作製されています。
歯科矯正用アンカースクリューは、歯を動かす目的で作られているため、歯の移動方向・量などに合わせて、さまざまな部位に埋め込めるようになっています。

さまざまな部位に埋め込めるセルフドリリングタイプの歯科矯正用アンカースクリューです。KAZ矯正歯科では主にこのタイプを使用しています。
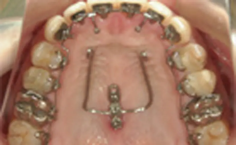
主に舌側矯正の場合に使用し、口蓋の部分に埋入します。2本のアンカースクリューとその上に土台となるプラットフォーム、さまざまな方向に歯の移動を行なうワイヤーからできています。ガミースマイルや下顎が奥へ引っ込んでいるケースの改善に使用します。費用はシステム全てで99,000円(税込)になります。
・治療期間を短縮できる可能性が高まる。
・さまざまな症例で非抜歯での矯正治療が期待できる。
・外科手術が必要なケースでも、手術せず治療できることがある。
・顎間ゴムなどの補助装置の使用頻度を減らし、患者さまのご協力が最小限ですむ。
・歯科矯正用アンカースクリューを埋め込む必要がある。
埋め込む場所や歯科矯正用アンカースクリューの種類は、症状や目的により異なります。太い血管や神経などの重要な組織がない部分に埋入することで、危険性に配慮しています。
1本33,000円(税込)です。このなかには、埋入・薬・除去などすべての費用が含まれます。しかし、歯科矯正用アンカースクリューを使うことで治療期間の短縮が見込めることで、矯正治療の費用が減額されるケースもあります。別途、費用は発生しますが短縮された分の差額のほうが高くなると思います。
なお、歯科矯正用アンカースクリューを埋め直す必要がある場合、別途費用はいただいていませんので、ご安心ください。
埋め込んだ部分のケアが不充分だと、虫歯や歯周病菌の感染により歯肉に炎症を起こすことがあります。日ごろから衛生管理に気をつけ、しっかりとしたホームケアが必要です。
歯磨きの仕方は歯科衛生士がご説明しますので、ご参考になさってください。
充分に注意していても、顎骨の厚みや密度の違いなどによって歯科矯正用アンカースクリューが緩んだり、脱落したりすることがあります。
この場合、再度埋入する必要がありますが、別途費用をいただくことはありません。
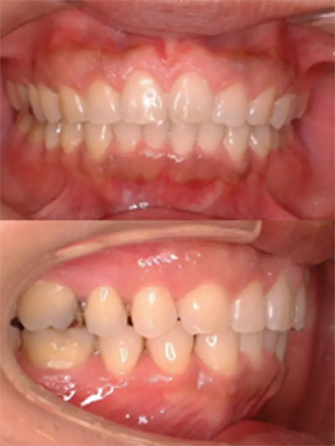
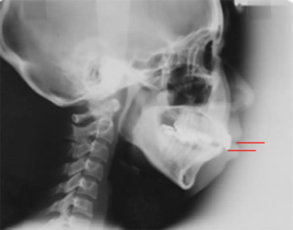
歯列全体を上方へ引き上げることで、改善を図ります。
今までは外科手術が必要な症例でしたが、歯科矯正用アンカースクリューを使うことで、多くの症例が外科手術せずに改善が見込めます。
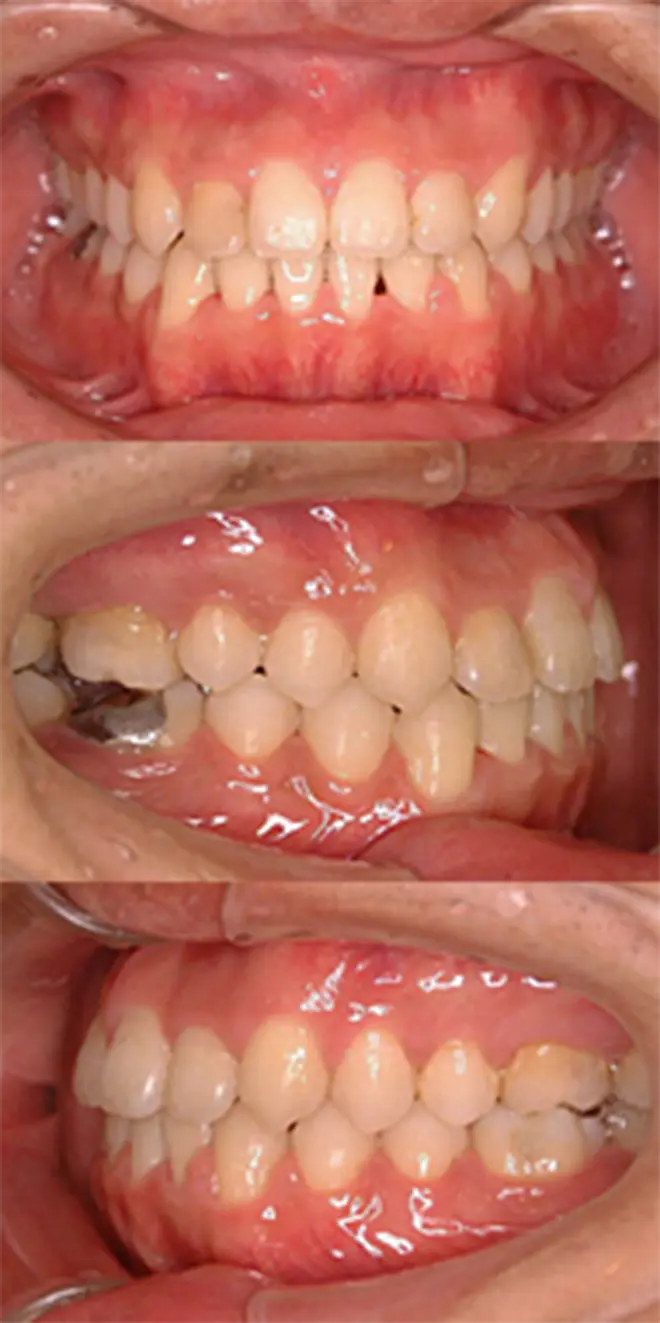
| 患者さまの年齢・性別 | 30代・男性 |
|---|---|
| 治療期間 | 2年2ヵ月 |
| 治療費(税込) | 1,567,500円 |
| 主訴 | ガミースマイルが気になる。 |
| 診断名・主な症状 | 過蓋咬合 |
| 治療に用いた主な装置 | 舌側矯正装置、歯科矯正用アンカースクリュー |
| 治療内容 |
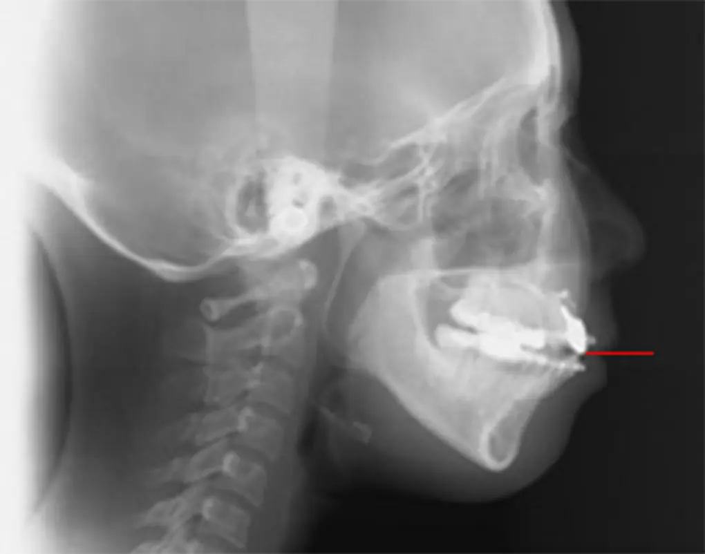
歯科矯正用アンカースクリューにより上顎前歯を上方と後方に移動させ、ガミースマイルと上顎前突の改善を行ないました。 |
| 抜歯部位 | 非抜歯 |
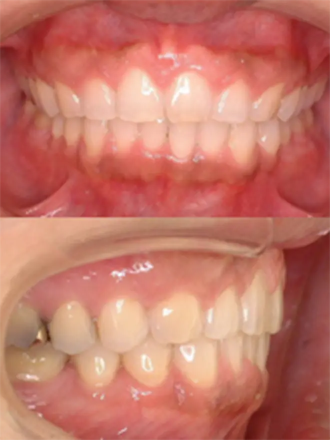
奥歯を下に引っ張ります。
今までは、取り外せるゴムや通常の矯正装置とは違う装置を別途、長期間使う必要がありました。しかし、奥歯を歯肉の方向に埋め込むことで、顎が関節を中心に回転し、前歯が噛むようになります。
| 患者さまの年齢・性別 | 20代・男性 |
|---|---|
| 治療期間 | 2年 |
| 治療費(税込) | 1,056,000円 |
| 主訴 | 前歯で噛めない。 |
| 診断名・主な症状 | 開咬をともなう下顎前突 |
| 治療に用いた主な装置 | セルフライゲーションブラケット装置(デイモンシステム)、歯科矯正用アンカースクリュー |
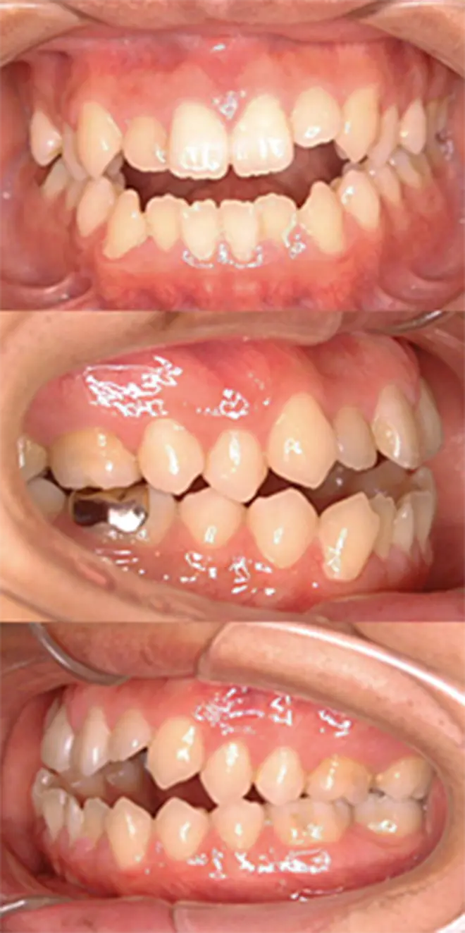
| 治療内容 | 下顎の左右奥に1本ずつ歯科矯正用アンカースクリューを埋入し、その力で下顎歯列の後方移動と前歯の噛み合わせの調整を行ないました。 |
| 抜歯部位 | 非抜歯 |
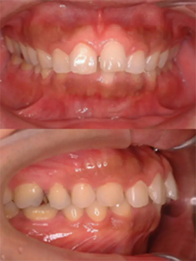
矯正歯科治療後、あらためて当院を受診されました。口元の突出感の改善とガミースマイルの治療を行ないました。
すでに上下左右の4本が抜歯されていたので、口元の突出感がある程度残ってしまっています。上下の唇の重なる位置と、上の前歯の先端の位置関係の変化が見られます。
| 患者さまの年齢・性別 | 20代・女性 |
|---|---|
| 治療期間 | 2年 |
| 治療費(税込) | 880,000円 |
| 主訴 | 口元の突出感が気になる。 |
| 診断名・主な症状 | 上下顎前突 |
| 治療に用いた主な装置 | セルフライゲーションブラケット装置(デイモンシステム)、歯科矯正用アンカースクリュー |
| 治療内容 |
すでに矯正治療を受けたあとだったため、当院では口元の突出感の改善とガミースマイルの治療を行ないました。 |
| 抜歯部位 | 非抜歯 |
顎骨が成長し、しっかりする16歳以降が適しています。
麻酔からお帰りになるまで30分程度、本数が多い場合には1時間程度のお時間が必要になります。
抜歯と同じく局所麻酔を行ないます。恐怖心の強い方やご希望の方には静脈内鎮静法を行なうことがあります。遠慮なくお申し付けください。局所麻酔かつ手術時間も短いため、入院の必要はありません。
歯科矯正用アンカースクリューは必要がなくなり次第外します。また、歯肉などに痕が残ることもありません。
ほとんど問題ありません。最初は違和感があっても、すぐに慣れる方が多いようです。
埋め込んだ部分のケアが不充分だと、歯肉に炎症を起こすことがあります。矯正装置の付近と同じく丁寧なホームケアをお願いしています。
また、歯科矯正用アンカースクリューを埋め込んだ際に、その周りの歯の磨き方についてお話させていただきますので、ご安心ください。
AKAZ矯正歯科では、検査から手術、治療まで一貫して院長が行なっています。
A重篤な全身疾患・骨粗鬆症・埋入部位の極度の骨吸収などがなければ、ほとんどの場合で埋入できます。ただし、妊娠中や授乳中の方には万が一を考え、あまりおすすめしていません。
A1本自体の埋入は数分で終わります。しかし、麻酔を行なってから埋入するので15分ほどかかります。埋入本数が多いと、手術時間も長くなります。
A症例によって異なりますが、一般的には装置を付けている期間の半分~3分の2程度であることが多いと思われます。
A歯科矯正用アンカースクリューを引っ張るときにゴムを引っ掛けることが多いのですが、その際に歯肉を少し押すので、多少痛みがあるかもしれません。
A普通に食事できますが、歯科矯正用アンカースクリューに直接当たるような食べ方は避けてください。
歯科矯正用アンカースクリューの種類によっては、食べ物の繊維が引っ掛かりやすいため不自由を感じることがあるかもしれません。
A体への負担も抜歯ほど大きくないため、ハードなスケジュールでなければ問題ないと思われます。
A歯科矯正用アンカースクリューは生体親和性の高いチタンでできており、アレルギーなどの心配もほとんどありません。埋め込む位置は、事前の検査で安全だと判断したところなので、手術後に多少の痛みや腫れはあっても副作用はほとんどありません。
A歯科矯正用アンカースクリューを外した後は、穴があいた骨や歯肉は元の状態に戻るので心配いりません。そのため、傷が残る可能性もほとんどありません。
Aほとんどの場合、麻酔を使用せずに抜去します。外すときに歯肉を触るため、多少の痛みがありますが、麻酔のチクッとした痛みよりは楽だと思います。
・矯正治療の一般的な治療費は60万~150万円、一般的な治療期間は2~3年、一般的な治療回数は24~36回となります。使用する装置、症状や治療の進行状況などにより変化しますので、参考程度にお考えいただき、詳細は歯科医師にご確認ください。
・機能性や審美性を重視するため、公的健康保険対象外の自費診療となり、保険診療よりも高額になります。
・最初は矯正装置による不快感、痛みなどがあります。数日から1~2週間で慣れることが多いです。
・歯の動き方には個人差があるため、治療期間が予想より長期化することがあります。
・装置や顎間ゴムの扱い方、定期的な通院など、矯正治療では患者さまのご協力がたいへん重要であり、それらが治療結果や治療期間に影響します。
・治療中は、装置がついているため歯が磨きにくくなります。虫歯や歯周病のリスクが高まるので、丁寧な歯磨きや定期メンテナンスの受診が大切です。また、歯が動くことで見えなかった虫歯が見えるようになることもあります。
・歯を動かすことにより歯根が吸収され、短くなることがあります。また、歯肉が痩せて下がることがあります。
・ごくまれに、歯が骨と癒着していて歯が動かないことがあります。
・ごくまれに、歯を動かすことで神経に障害を与え、神経が壊死することがあります。
・治療中に金属などのアレルギー症状が出ることがあります。
・治療中に、「顎関節で音が鳴る、顎が痛い、口をあけにくい」などの顎関節症状が出ることがあります。
・問題が生じた場合、当初の治療計画を変更することがあります。
・歯の形状の修正や、噛み合わせの微調整を行なうことがあります。
・矯正装置を誤飲する可能性があります。
・装置を外すときに、エナメル質に微小な亀裂が入る可能性や、補綴物(被せ物など)の一部が破損することがあります。
・装置を外したあと、保定装置を指示どおりに使用しないと後戻りが生じる可能性が高くなります。
・装置を外したあと、現在の噛み合わせに合わせて補綴物(被せ物など)の作製や虫歯治療などをやり直す可能性があります。
・顎の成長発育により、歯並びや噛み合わせが変化する可能性があります。
・治療後に、親知らずの影響で歯並びや噛み合わせが変化する可能性があります。
・加齢や歯周病などにより、歯並びや噛み合わせが変化することがあります。
・矯正治療は、一度始めると元の状態に戻すことが難しくなります。
・機能性や審美性を重視するため、公的健康保険対象外の自費診療となり、保険診療よりも高額になります。
・装置に慣れるまで発音しづらいなどの症状が出ることがあります。
・矯正装置を装着している期間は、適切に歯磨きができていないと、虫歯や歯周病にかかりやすくなります。歯磨き指導をしますので、毎日きちんと歯を磨き、口腔内を清潔に保つようご協力をお願いします。
・歯磨き、エラスティック(顎間ゴム)の使用、装置の取り扱い、通院などを適切に行なっていただけない場合、治療の期間や結果が予定どおりにならないことがあります。
・成長期の患者さまの治療では、顎骨の成長を予測し、現段階において適切な治療を行ないますが、まれに予期できない顎の成長や変化によって治療法や治療期間が大きく変わることがあります。また、顎の変形が著しい場合には、矯正治療に外科的処置を併用することがあります。
・歯を移動させることにより、まれに歯根の先端がすり減って短くなる「歯根吸収」を起こすことがあります。しかし、適切な矯正力で歯を移動させることでセメント質(歯根表面を覆っている組織)が修復されるため、歯根吸収のリスクを軽減できます。
・歯の周囲の組織は、治療前の状態に戻ろうと「後戻り」する性質があるため、治療後も数ヵ月から1年に1回ほどの頻度で通院いただいて歯の状態を管理し、後戻りを防ぐ必要があります。
・公的健康保険対象となる使用方法と、公的健康保険対象外の自費診療となる使用方法があり、自費診療となる場合は保険診療よりも高額になります。
・骨と化学的な結合をしないため、患者さまの骨の状態や口腔衛生状態によっては脱落することがあります。
・脱落した場合は再埋入を行なうことがあります。脱落部分の骨の穴が回復するまで数ヵ月の時間を要するため、別の部分に埋め込むことがあります。
・歯科矯正用アンカースクリューは骨に埋まっていますが、その頭部は歯肉の外にあるため、ケアを怠ると骨に感染することがあります。
・歯科矯正用アンカースクリューは歯根の間に埋入されることが多いため、埋入時に歯根を傷つけることがあります。
・歯肉に塗布する表面麻酔や、一般的な歯科治療で歯肉に注入する浸潤麻酔は保険診療となります。インプラントを用いた治療などの自費診療(保険適用外)で笑気吸入鎮静法、静脈内鎮静法、全身麻酔を行う場合は自費診療となり、保険診療よりも高額になります。保険診療となった場合も、高額になることがあります。これらの麻酔法を保険診療で行うには治療内容など条件がありますので、詳細は歯科医師にご確認ください。
・表面麻酔薬の使用により、じんましんやむくみなどを発症することがあります。
・浸潤麻酔の使用により、アドレナリンの影響で血圧上昇や動悸などを発症することがあります。高血圧症や心臓疾患のある方は注意が必要なので、事前にお申し出ください。
・笑気吸入鎮静法の実施により、ごくまれに効果が切れたあとの吐き気や嘔吐、末梢神経障害が現れることがあります。
・静脈内鎮静法の実施により、薬剤による影響や全身疾患との関連から重篤な副作用を引き起こすことがあります。持病のある方は注意が必要なので、事前にお申し出ください。
・全身麻酔により、吐き気や嘔吐、肺炎、アナフィラキシーショック、悪性高熱症などを発症することがあります。また、誤嚥性肺炎を起こすことがあるため、治療前日24時以降は絶食いただいています。
・そのほか、麻酔薬の影響ではなく緊張状態や麻酔注射時の疼痛により起こる脳貧血により、悪心、吐き気、手足の震え・痺れが起こることがあります。
・麻酔効果が切れるまで口の中の粘膜や唇の感覚が麻痺しているため、唇を噛んだりやけどなどをしないよう、食事は避けてください。
・アルコールにより血流が良くなり、出血・腫れ・痛みが増してしまうことがあるため、飲酒は避けてください。