初診のカウンセリングを行なっています。
お気軽にご相談ください。
特殊症例の矯正歯科
矯正歯科の治療例をご紹介致します。いまさらと思ってらっしゃる方も遅くはありません。歯は何才になっても動くのです。こちらでは、先天性欠損、過剰歯、癒合歯ほかの症例をご紹介いたします。
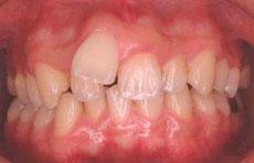
特殊症例 1 - セルフライゲーションブラケット装置(デイモンシステム)(非抜歯、下顎に歯科矯正用アンカースクリュー2本埋入)
10代・男性
気になるところ
反対咬合が気になる → 反対咬合
治療について
●注意点・リスク・副作用などを含む治療内容
非抜歯で治療を行う為に、歯科矯正用アンカースクリューを使用しています。
歯科矯正用アンカースクリューを支点にして下顎歯列全体を奥に引っ込めて治療を行った症例です。
こういった場合、下顎に親知らずがある場合には、抜歯が必要になる事があります。
その他
●治療期間…1年8ヵ月
●治療費用…860,000円 + 消費税
●治療に用いた主な装置…セルフライゲーションブラケット装置(デイモンシステム)※完成物薬機法対象外の矯正装置であり、医薬品副作用被害救済措置の対象外になることがあります。
●抜歯部位…非抜歯
●通院回数・メインテナンス頻度…15回






特殊症例 2 - セルフライゲーションブラケット装置(デイモンシステム)(非抜歯、下顎前歯1本先天性欠損)
10代・男性
気になるところ
前歯が出ているのが気になる → 下顎前歯の先天性欠損と上顎右側中切歯の唇側傾斜を伴う叢生症例
治療について
●注意点・リスク・副作用などを含む治療内容
下顎の前歯が元々1本欠損している症例です。
そのため、上下の真ん中のラインは一致しませんが、左右の咬み合わせはしっかり咬ませる事ができます。
その他
●治療期間…1年7ヵ月
●治療費用…900,000円 + 消費税
●治療に用いた主な装置…セルフライゲーションブラケット装置(デイモンシステム)※完成物薬機法対象外の矯正装置であり、医薬品副作用被害救済措置の対象外になることがあります。
●抜歯部位…非抜歯
●通院回数・メインテナンス頻度…14回






特殊症例 3 - セルフライゲーションブラケット装置(デイモンシステム)(上下左右4本抜歯、上顎は左右非対称の抜歯)
20代・女性
気になるところ
前歯がデコボコしているのが気になる → 叢生症例
治療について
●注意点・リスク・副作用などを含む治療内容
右上の前歯(2番目の歯)の根の中が悪く膿がでている状態のため、右上はこの歯を抜いて治療した症例です。
左右非対称抜歯のため上下の真ん中は一致しません。
右の前歯の横に犬歯が並ぶので、見た目が気になる方もいらっしゃいます。
その場合、とがっている犬歯の先端を削り、目立たなくする等の処置を行う事があります。
上下左右で4本の歯の抜歯が必要となります。
その他
●治療期間…2年
●治療費用…960,000円 + 消費税
●治療に用いた主な装置…セルフライゲーションブラケット装置(デイモンシステム)※完成物薬機法対象外の矯正装置であり、医薬品副作用被害救済措置の対象外になることがあります。
●抜歯部位…上顎右側2番・上顎左側下顎両側4番
●通院回数・メインテナンス頻度…17回






特殊症例 4 - 片方舌側矯正装置
20代・女性
気になるところ
八重歯が気になる → 上顎左側に過剰歯を伴う叢生症例
治療について
●注意点・リスク・副作用などを含む治療内容
上顎左側の過剰歯のみ抜歯して、全体のデコボコと正中離開、かみ合わせの治療を行った症例です。
その他
●治療期間…1年2ヵ月
●治療費用…1,095,000円 + 消費税
●治療に用いた主な装置…ハーフリンガル(舌側矯正装置)
●抜歯部位…上顎左側過剰歯
●通院回数・メインテナンス頻度…10回






特殊症例 5 - 片方裏側の装置 (上下左右4本抜歯、上顎は左右非対称の抜歯)
30代・女性
気になるところ
前歯が出ているのが気になる → 上顎左側に癒合歯を伴う叢生症例
治療について
●注意点・リスク・副作用などを含む治療内容
前歯がでている事と、歯のデコボコを改善する為に左上の癒合歯(2本の歯がくっついて1本になっている歯)を含め、4本を抜歯して治療を行った症例です。
上顎に1本、歯科矯正用アンカースクリューを埋入しています。
また左右が非対称な歯の抜歯の為、上下の正中は一致しません。
その他
●治療期間…2年
●治療費用…1,275,000円 + 消費税
●治療に用いた主な装置…ハーフリンガル(舌側矯正装置)
●抜歯部位…上顎左側2番(癒合歯)、上顎右側下顎両側4番
●通院回数・メインテナンス頻度…20回





