初診のカウンセリングは無料です。
お気軽にご相談ください。
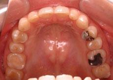
Y.I様 デイモンシステム
30代 女性 主婦

症例: 施術前・施術後
| 気になっている所 | 咬み合わせがずれている気がするとの事。 |
|---|---|
| 装置 | デイモンシステムクリア |
| 治療方法 | 右上の奥の咬み合わせが上顎が下顎に対し、前方にずれている状態。 また、過蓋咬合気味な状態と、左上の2番目に矮小歯がありました。 |
| 治療前の状態 | 非抜歯で治療を行いました。右上の奥の咬み合わせの改善のために、右上に矯正用のインプラントを使用する事にしました。 また、左上の2番目の矮小歯に関しましては、そのままの状態で仕上げを行う計画となりました。 |
| 治療 | 矯正用のインプラントから右上を奥に引っ張ることで右上下の咬み合わせの改善をはかりました。 全体としては、前歯の部分の叢生(でこぼこ)と過蓋咬合の改善を行い、左上2番目の矮小歯もそのままの状態で咬み合わせを作る事ができました。 |






